Ivoclar Vivadent IPS Empress CAD Chairside v.1 – page 6
Manual for Ivoclar Vivadent IPS Empress CAD Chairside v.1

Usos
I
ndicaciones
Los bloques IPS Empress CAD están indicados para las siguientes restauraciones cementadas de forma
adhesiva. Dependiendo del tipo y tamaño de la restauración, se recomiendan respectivamente los
bloques HT (Alta translucidez), LT (Baja Translucidez) o Multi. Las restauraciones IPS Empress CAD se
pueden cementar y, posteriormente, pulir, maquillar/glasear o estratificar.
Bloques HT
Bloques LT
Bloques Multi
(
High Translucency)
(
Low Translucency)
M
ayor translucidez y
M
enor translucidez y
T
ransición natural del color,
e
fecto camaleón
e
fecto camaleón
t
ranslucidez y
M
enor luminosidad (value)
M
ayor luminosidad (value)
fl
uorescencia
– Inlays
– Coronas anteriores y posteriores
– Coronas anteriores y posteriores
– Onlays
– Coronas parciales
– Coronas parciales
– Carillas
– Carillas
– Carillas
Para el tratamiento posterior de las restauraciones IPS Empress CAD, los usuarios tienen las siguientes
opciones:
– Caracterización y glaseado estético de restauraciones anatómicas utilizando masas IPS Empress
Universal Shades, Stains (maquillaje) y Glaze (glaseado).
– Estratificación estética en el tercio incisal de restauraciones reducidas (carillas y coronas anteriores), uti-
lizando materiales IPS Empress Esthetic Veneer
Contraindicaciones
– Reconstrucciones de puentes
– Cementaciones convencionales
– Preparaciones subgingivales muy profundas
– Pacientes con dentición residual muy mermada
– Bruxismo
–
Cor
onas anteriores y posteriores completamente estratificadas, utilizando IPS Empress Esthetic Veneer.
Importantes r
estricciones del procesamiento.
La no observancia de las siguientes indicaciones puede comprometer el éxito alcanzado con
IPS Empress CAD:
–
La restauración anatómica de IPS Empress CAD no puede tener un grosor menor del mínimo
requerido.
– Las restauraciones reducidas (rebajadas) de IPS Empress CAD no deben tener un grosor menor del
mínimo r
equerido.
– No se debe exceder el grosor máximo de capa de los materiales de carillas IPS Empress Esthetic
Veneers.
– Las restauraciones IPS Empress CAD no se deben maquillar con otros materiales que no sean
IPS Empress Universal Shades, Stains y Glaze.
– Los materiales en polvo no se deben mezclar con los materiales en pasta.
– Los bloques no se deben fresar con otros sistemas CAD/CAM que no sean los indicados.
Efectos secundarios
El material no debe utilizarse, en caso de que el paciente pr
esente alergia conocida a cualquiera de los
componentes de IPS Empress CAD.
5

Composición
– Bloques IPS Empress CAD
Componentes: SiO
2
Además contiene: Al
2
O
3
, K
2
O, Na
2
O, CaO, y otros óxidos, pigmentos
– IPS Empress Esthetic Veneer
Componentes: SiO
2
Además contiene: Al
2
O
3
, K
2
O, Na
2
O, CaO, óxidos, pigmentos
– IPS Empress Universal Shades, Stains, y Glaze
Componentes: óxidos, glicerina, butandiol
– IPS Empress Esthetic Veneer líquido de modelar
Componentes: agua, butandiol, cloruro
– IPS Empress Universal líquido de glaseado y maquillaje
Componentes: Butandiol
– IPS Contrast Spray Chairside
Componentes: suspensión de pigmentos en etanol; el propulsor es un hidrocarburo fluorado
– IPS Natural Die Material
Componentes: dimetacrilato de poliéster de uretano, aceite de parafina, SiO
2
y copolímeros
– IPS Natural Die Material Separator
Componentes: cera disuelta en hexano
– Gel de grabado IPS Ceramic
Componentes: ácido fluorhídrico
A
visos
– El butandiol es irritante - evitar el contacto con ojos y piel y no inhalar sus vapores
– El hexano es altamente inflamable y perjudicial para la salud. Evitar el contacto con ojos y piel No
inhalar sus vapor
es y mantenerlo lejos de cualquier fuente de ignición.
– No inhalar el polvo de fresado de la cerámica durante el tratamiento - utilizar equipos de succión y
mascarilla facial.
– El gel de grabado contiene ácido fluorhídrico. Evitar siempre el contacto con ojos, piel, vestimenta, ya
que el material es altamente tóxico y corrosivo. El gel de grabado es sólo para uso profesional y no
debe aplicarse intraoralmente (en la cavidad oral).
6

Concepto de Bloque
B
loques IPS Empress CAD
El control del color y translucidez de los bloques IPS Empress CAD se basa en un innovador desarrollo del concepto de
translucidez, constituido sobre las guías de colores A–D, Chromascop y Bleach BL.
Los bloques IPS Empress CAD están disponibles con dos grados de translucidez y como bloque policromático. Los bloques
están coordinados con precisión en cuanto a las respectivas indicaciones, y permiten de esa manera una excelente concor-
dancia de color con la correspondiente guía de color. Dependiendo de la indicación, los bloques proporcionan un efecto
camaleón natural, un valor luminosidad vital o una transición cromática natural.
IPS Empress CAD HT (Alta translucidez)
Estos bloques están disponibles en los 9 colores A–D más populares, en 3 colores Chromascop y en 4 tamaños. Gracias a
su alta translucidez, los bloque HT son perfectamente apropiados para la realización de restauraciones más pequeñas (p. ej.
inlays y onlays). Las restauraciones realizadas de bloques de HT, convencen a los usuarios con su natural efecto camaleón y
extraordinaria adaptación con la estructura dental residual. Los bloques demuestran una fluorescencia vital con el fin de
permitir una óptima integración dentro de la estructura dental residual bajo diferentes situaciones lumínicas.
A–D
Chromascop
IPS Empress CAD LT (Baja translucidez)
Estos bloques están disponibles en los 9 colores A-D más populares, en 3 colores Chromascop, 4 colores Bleach BL y
4 tamaños. Gracias a su alto valor de luminosidad comparado con los bloques HT, los bloques LT son ideales para la real-
ización de restauraciones más grandes (p. ej. coronas anteriores y posteriores). Las restauraciones realizadas con los bloques
LT, convencen a los usuarios con su natural luminosidad y croma, que evitar que la restauración incorporada se torne gris.
Los bloques muestran una fl
uor
escencia natural para permitir una integración óptima en el medio natural, incluso bajo
condiciones lumínicas cambiantes. Las restauraciones realizadas con los bloques LT también son extraordinariamente
apropiadas para la técnica de reducción (cut-back).
A–D
Chromascop
Bleach BL
IPS Empress CAD Multi
Estos bloques están disponibles en los 5 colores A-D más populares y 3 tamaños. Gracias
a su natural gradiente de color desde las áreas de dentina a incisal, las restauraciones
realizadas con los bloques IPS Empress CAD Multi, muestran un máximo de estética y
naturalidad. En combinación con las distintas posibilidades de posicionamiento de la
restauración dentro del bloque, los naturales gradientes de opacidad y translucidez
permiten una multitud de posibilidades estéticas. Los bloques IPS Empr
ess CAD Multi,
presentan una transición de la fluorescencia muy similar a la del diente natural, que
tiene como resultado una excelente integración en la dentición residual. Gracias a la
innovadora combinación de un natural color de transición, translucidez y fl
uor
escencia,
se realizan restauraciones altamente estéticas de manera sencilla.
7

Vista general de los bloques – colores y tamaños*
Los bloques IPS Empress CAD están disponibles en los siguientes colores y tamaños como viales de reposición
conteniendo 5 bloques cada uno.
HT
Alta Translucidez
A–D
L
T
B
aja Translucidez
A1
A2
A3
A3.5 B1 B2 B3 C2 D3
Multi
V 12
I 8
I 10
I 12
C 14
C 14 L
HT
Alta T
r
anslucidez
Chromascop
Bleach BL
LT
Baja Translucidez
100
200
300
BL1 BL2 BL3 BL4
Multi
V 12
I 8
I 10
I 12
C 14
C14L
*La gama de productos disponibles puede varias de país en país.
8

Vista general de los bloques – translucidez
Translucidez
Opacidad
Colores A–D
A1 A2 A3 A3.5 B1 B2 B3 C2 D3
Translucidez
Opacidad
Chr
omascop
100 200 300
Bleach BL
BL1 BL2 BL3 BL4
Bloque HT Bloque LT
9

Vista general de producto para CEREC
IPS Empress CAD for CEREC Basic Kit A–D
El Basic Kit contiene una selección de colores de bloques de los
colores A-D más usuales, así como los accesorios necesarios, p.ej.,
spray de contraste, surtido de pulido. Por ello, el Basic Kit propor-
ciona todos los productos para el completo procedimiento de
tratamiento clínico. El Basic Kit se suministra en el nuevo armario de
material y se puede complementar con cualquier otro surtido de
cerámica sin metal de Ivoclar Vivadent, p.ej. IPS e.max.
Forma de suministr
o:
IPS Empress CAD for CEREC Basic Kit A–D
– 4x 5 IPS Empress CAD for CEREC and inLab bloques HT;
color
es /tamaños: A1/I 12, A2/I 12, A3/I 12, B1/I 12
– 5x 5 IPS Empress CAD for CEREC and inLab bloques LT;
colores /tamaños: A1/C 14, A2/C 14, A3/C 14, B1/C 14, BL2/C 14
– 3x IPS Empress CAD for CEREC and inLab bloques Multi;
colores /tamaños: A1/C 14 L, A2/C 14 L, A3/C 14 L
– 1x 50 ml IPS Contrast Spray Chairside
– 1 OptraFine Assortment
– 8x OptraGate; tamaños S, R
– 8x OptraDam; tamaños S, R
– 1x guía de colores Bleach BL
IPS Empress CAD for CEREC Trial Kit A–D
El Trial Kit contiene una selección de bloques de colores en colores
A–D, así como los accesorios necesarios, p. ej. el spray de explo
-
ración, materiales de cementación, surtido de pulido. Así, el Trial Kit
proporciona todos los productos necesarios para las primeras
r
estauraciones de IPS Empr
ess CAD.
Forma de suministro:
IPS
Empr
ess CAD
for CEREC Trial Kit A–D
– 5x 1 IPS Empress CAD for CEREC and inLab bloques HT;
colores /tamaños: A1/I 10, A2/I 10, A1/I 12, A2/I 12, A3/I 12
–
5x 1 IPS
Empr
ess CAD for CEREC and inLab bloques LT;
colores /tamaños: A1/I 12, A2/I 12, A1/C 14, A2/C 14, A3/C 14
– 4x IPS Empress CAD for CEREC and inLab bloques Multi;
color
es /tamaños: A1/C 14, A2/C 14, A1/C 14 L, A2/C 14 L
– 1x 50 ml IPS Contrast Spray Chairside
– 1x 5 g Monobond-S
–
1x 3 g Multilink Primer A+B
– 1 OptraFine PromoPack
– 4x OptraGate; tamaños S, R
Se puede obtener información
–
4x OptraDam; tamaños S, R
acerca del sistema CEREC
®
de:
– Diferentes accesorios
Sirona Dental Systems GmbH
Fabrikstrasse 31
64625 Bensheim
Alemania
E-mail: contact@sirona.de
www.sirona.com
CEREC
®
es una marca comercial registr
ada de
Sirona Dental Systems GmbH
10

Directrices de preparación y grosor mínimo
Sólo se pueden obtener buenos resultados con IPS Empress CAD, si se observan estrictamente las siguientes pautas y
mínimos grosores de capas. Los siguientes grosores mínimos son imprescindibles para las restauraciones IPS Empress CAD.
Inlays y Onlays
Se deben tener en cuenta los contactos de antagonistas estáticos y dinámicos. Los márgenes de preparación no deben
estar localizados en contactos con máxima intercuspidación.
Se debe guardar una profundidad de la preparación de al menos 1.5 mm y un ancho de istmo de al menos 1.5 mm en la
zona de la fisura. Preparar la caja proximal con paredes ligeramente divergentes y respetar un ángulo de 100-120º entre las
par
edes cavitarias proximales y las superficies proximales probables del inlay. Para inlays con pronunciadas paredes cavitarias
convexas sin un soporte adecuado por hombros proximales, se deben evitar los contactos de aristas marginales. Redondear
los bordes internos para evitar concentración de tensiones dentro del material cerámico. Eliminar los contactos proximales
en todos los lados. No pr
eparar bordes en ángulo agudo o afilados.
Proveer al menos 2 mm de espacio en las áreas de las cúspides. Los hombros no pueden mostrar inclinación alguna, i. e.
tienen que mostrar un ángulo de 90º hacia la estructura dental residual. Los onlays están indicadas si los márgenes de la
preparación está a menos de aproximadamente 0.5 mm de la punta de la cúspide, o si el esmalte está gravemente
socavado.
11
4°
>1.5
100-120°
>1.5
>1.0
>2.0
1.5
>1.5
1.0
4°
2.0
>0.7
>1.0
> 0.6
1.5
>0.7
90°
>1.0
1.5
1.5
>1.5
>1.0
2.0 2.0
> 0.6
>1.0
1.5
>1.0
4°
>1.5
100-120°
>1.5
2.0
>1.0
1.5
1.5
>1.0
>1.5
>2.0
4°
> 0.6
>0.7
>0.7
1.0
90°
>1.0
1.5
1.5
>1.5
>1.0
2.0 2.0
> 0.6
>1.0
1.5
>1.0
4°
>1.5
100-120°
>1.5
2.0
>1.0
1.5
1.5
>1.0
>1.5
>2.0
90°
4°
> 0.6
>0.7
>0.7
1.0
>1.0
1.5
1.5
>1.5
>1.0
2.0 2.0
> 0.6
>1.0
1.5
>1.0
4°
>1.5
100-120°
>1.5
>2.0
4°
>1.5
>1.5
90°
>1.0
1.5
1.0
2.0
>0.7
>1.0
> 0.6
1.5
>0.7
>1.0
1.5
1.5
>1.0
2.0 2.0
> 0.6
>1.0
1.5
>1.0
4°
>1.5
100-120°
>1.5
>2.0
4°
>1.5
>1.5
90°
2.0
>1.0
1.5
1.5
>1.0
> 0.6
>0.7
>0.7
1.0
>1.0
1.5
1.5
>1.0
2.0 2.0
> 0.6
>1.0
1.5
>1.0
4°
>1.5
100-120°
>1.5
>2.0
4°
>1.5
>1.5
90°
2.0
>1.0
1.5
1.5
>1.0
> 0.6
>0.7
>0.7
1.0
1.5
>1.0
1.5
>1.0
2.0 2.0
> 0.6
>1.0
1.5
>1.0

Carillas
Siempre que sea posible, la preparación deberá estar localizada en el esmalte. Los márgenes incisales de la preparación no
deberán estar localizados en la zona de superficies con abrasión o en superficies oclusales dinámicas. Se puede lograr una
reducción controlada del esmalte, preparando los surcos de orientación utilizando un marcador de profundidad. No se
requiere abrir los contactos proximales.
Para
las preparaciones que no afectan al borde incisal (solo reducción labial), la profundidad de la preparación en la
zona cervical deberá tener al menos 0.6 mm y al menos 0.7 mm en el área labial.
Para la reducción del borde incisal (reducción labial /incisal), la profundidad de la preparación en el área cervical deberá
tener al 0.6 mm y al menos 0.7 mm en el área labial. El borde incisal se debe reducir en 1.0 mm. La extensión de la
reducción incisal depende de la translucidez deseada del área incisal a reconstruir. Cuanto más transparente sea el borde
incisal de la carilla que se va a elaborar, tanto más pronunciada deberá ser la reducción. Los dientes decolorados o fuerte-
mente pigmentados pueden requerir una mayor preparación.
Coronas anteriores y posteriores
La forma anatómica se reduce muy uniformemente, pero observando el grosor mínimo indicado. Se preparar un hombro
circunferencial con bordes internos redondeados o bisel. El ancho del hombro circular debe tener como mínimo 1 mm. El
tercio incisal /oclusal se reduce en 2 mm. Para las coronas anteriores, la parte labial y /o palatino /lingual del diente se
deberá reducir al menos 1.5 mm. El ancho incisal de la preparación deberá tener al menos 1 mm (geometría del instru-
mental de fresado), con el fin de permitir un fresado óptimo del borde incisal durante el tratamiento CAD.
12
4°
>1.5
100-120°
>
1.5
>
2.0
4°
>1.5
>
1.5
9
0°
2.0 2.0
>
1.0
1.5
>1.0
1.5
1.5
1.5
>
1.0
>1.0
1.5
1.0
2.0
> 0.6
> 0.6
>0.7
>1.0
>1.0
>0.7
4°
>1.5
100-120°
>
1.5
>
2.0
4°
>1.5
>
1.5
9
0°
2.0 2.0
>
1.0
1.5
>1.0
1.5
1.5
1.5
>
1.0
>1.0
1.5
1.0
2.0
> 0.6
> 0.6
>0.7
>1.0
>1.0
>0.7
4°
>1.5
100-120°
>1.5
>2.0
4°
>1.5
>
1.5
90°
2.0 2.0
>1.0
1.5
>1.0
1.5
1.5
1.5
>1.0
>1.0
1.5
1.0
2.0
> 0.6
> 0.6
>0.7
>1.0
>1.0
>0.7
4°
>
1.5
100-120°
>1.5
>2.0
4°
>1.5
>1.5
90°
2.0 2.0
>1.0
1.5
>1.0
1.5
1.5
1.5
>1.0
>1.0
1.5
1.0
2.0
>0.7
> 0.6
>0.7
>1.0
> 0.6
>1.0
4°
>1.5
100-120°
>1.5
>2.0
4°
>1.5
>1.5
90°
2.0 2.0
>1.0
1.5
>1.0
1.5
1.5
1.5
>1.0
>1.0
1.5
1.0
2.0
> 0.6
>0.7
>0.7
>1.0
> 0.6
>1.0
4°
>1.5
1
00-120°
>
1.5
>2.0
4°
>1.5
>1.5
90°
2.0 2.0
>1.0
1.5
>1.0
1.5
1.5
1.5
>1.0
>1.0
1.5
1.0
2.0
> 0.6
>0.7
>0.7
>1.0
> 0.6
>1.0

IPS
Empress CAD – Vista general del
procedimiento de tratamiento
Además de IPS Empress CAD, se dispone de productos coordinados para todos los procedimientos de tratamientos clínicos.
Los productos coordinados entre sí y los pasos de trabajo individuales aumentan la comodidad de procedimiento y la
calidad general de la restauración. Ello permite la realización de restauraciones IPS Empress CAD altamente estéticas y
duraderas, con un máximo de eficacia y rendimiento económico.
Procedimiento de tratamiento
Pasos de trabajo
P
roductos Ivoclar Vivadent
D
eterminación del
G
uías de colores
color del diente Chromascop y Bleach BL
Para determinar el color del diente
Toma de color
s
in preparar
Determinación del IPS
®
Natural Die Material
muñon Para determinar el color del
m
uñon del diente pre
parado
O
ptraGate
®
Proporciona un fácil acceso a un amplio área de tratamien-
t
o mediante la retracción circular de labios y mejillas.
OptraDam
®
Imagen intraoral
Dique de goma tridimensional, con forma anatómica.
I
PS
®
C
ontrast Spray Chairside
P
osibilita una imagen óptima a través de una definición
detallada de los bordes.
Bloques IPS Empress
®
CAD
Fresado
Bloques de cerámica reforzada con leucita para la
tecnología CAD /CAM
Tetric
®
Color
Maquillajes de composite fotopolimerizable para
caracterizaciones internas.
IPS Empress Esthetic Veneer
Maquillaje y
Materiales cerámicos opalescentes para estratificaciones
recubrimiento
individuales y estéticas.
IPS Empress Universal Shade / Stains
Maquillajes en masa para caracterizaciones individuales
de la superfi
cie.
IPS
®
Object Fix
Masa de cocción auxiliar de soporte para todas las
r
estauraciones de cerámica sin metal.
Cocción de cerámica
Programat
®
P300
El horno de cerámica para la consecución de óptimos
resultados de cocción.
Gel de grabado IPS
®
Ceramic
Para la realización de superficies adhesivas retentivas en
Grabado /
restauraciones cerámicas.
Silanización
Monobond-S
®
Produce superficies adhesivas silanizadas sobre restaura-
ciones de cerámica sin metal ácido grabadas.
OptraDam
®
Dique de goma tridimensional con forma anatómica.
Variolink
®
II, Variolink Veneer, Multilink
®
Automix
Cementación
Pr
obados sistemas de cementación adhesiva.
bluephase
®
Inalámbrica lámpara LED de alto rendimiento para todas
las indicaciones.
OptraFine
Pulido
Sistema clínico para el pulido con diamante de alto
rendimiento para los materiales cerámicos.
13

Toma de color
El color de diente correcto es la base de una restauración con un aspecto natural. Después de la limpieza dental, se
determina el color sobre el diente sin preparar y/o de los dientes adyacentes. Se deben tener en cuenta las características
individuales cuando se realice la toma de color. Si, por ejemplo, se planifica una preparación de corona, también se deberá
tomar el color cervical. Con el fin de obtener resultados de aspecto natural, la toma de color se deberá realizar con luz de
día. Además, el paciente no deberá vestir con ropas de colores intensos y/o carmín. Básicamente, hay que tener en cuenta
que el color final de una restauración es el resultado de los siguientes colores individuales:
– Color del muñón
– Color del bloque de cerámica
– Color de la cerámica de estratificación
– Color del material de cementación
IPS Natural Die Material (Material de Muñones)
Con el fin de facilitar la reproducción del color del diente, la toma
de color del diente preparado se efectúa con la ayuda de la guía de
colores IPS Natural Die Material, que facilita la realización de
restauraciones de cerámica sin metal y con la que también se pueden
comprobar las caracterizaciones individuales. Se confecciona un
muñón de trabajo r
ealizado con IPS Natural Die Material en los
respectivos colores de la preparación, de esta manera se pueden
comprobar el color y grado de luminosidad de las restauraciones
IPS Empr
ess CAD durante los difer
entes pasos de elaboración.
14

Imagen intraoral
OptraGate
®
se coloca para facilitar el acceso y vista del campo de
tratamiento. OptraGate es un dispositivo auxiliar clínico que separa los
labios y mejillas durante el tratamiento dental, lo que permite una
visión completa del campo de tratamiento, facilita la accesibilidad al
mismo y mejora el control de humedad dentro de la cavidad oral.
IPS
®
Contrast Spray Chairside se utiliza para lograr
unos registros óptimos para las restauraciones
CAD/CAM. Este spray de contraste para clínica,
compensa las diferentes propiedades ópticas del
diente natural (dentina y esmalte), lo que permite de esta manera
obtener impresiones óptimas utilizando una cámara. Con su boquilla
especial, se logra fácil y eficazmente una inmejorable capa de recubri-
miento para una detallada impresión con una
corta atomización. Existen cabezales
atomizadores angulosos para el spray. Por favor,
siga las correspondientes instrucciones de uso.
Fresado
Para fresar una restauración, el bloque IPS Empress CAD se selecciona de acuerdo
con la correspondiente situación clínica, ya que ésta no determina únicamente la
selección del bloque en el color y translucidez requeridos, sino también el tamaño
del mismo. Una vez elegido el bloque deseado, éste se monta en la unidad CAM
y se fresa la restauración.
Se dispone de diferentes opciones para realizar el acabado y completar las
restauraciones. Para una descripción más detallada de los diferentes pasos de
trabajo de los distintos métodos de procedimiento, observe el capítulo
"Procedimientos prácticos – Elaboración de restauraciones IPS Empress CAD".
15

Maquillaje y recubrimiento
Existen tres técnicas diferentes de maquillaje, caracterización y estratificación con
IPS Empress CAD:
1. Caracterización interna
Tetric
®
Color son maquillajes de composite fotopolimerizable para caracterizaciones
individuales que están idealmente indicadas para caracterizaciones interiores (por el
lado de cementación) de las restauraciones IPS Empress CAD (p. ej. carillas). Los
maquillajes se aplican después del grabado ácido (60 segundos con IPS Ceramic
Etching Gel) y de la silanización (Monobond-S). Seguidamente, los maquillajes se
polimerizan con una lámpara de polimerización de la familia bluephase. No deben
realizarse ciclos de cocción de cerámica después de la "caracterización interior" con
Tetric Color.
2. Caracterización externa*
IPS Empress
®
Universal Shade / Stains son maquillajes cerámicos para caracteriza-
ciones individuales. Entre otras cosas, estos maquillajes son ideales para el maquillaje y
caracterización externa de las restauraciones IPS Empress CAD.
Los maquillajes de dentina están disponibles en 9 colores A-D y 15 Chromascop.
Para caracterizaciones individuales, se dispone de 14 maquillajes intensivos
y, para la reproducción del área incisal de 2 Shade Incisal, que
proporcionan al tercio incisal translucidez óptica y un efecto de
profundidad. Para la cocción de glaseado final de las restauraciones de IPS Empress,
existe una masa de glaseado suave y de grano fino.
3. Técnica de Reducción (Cut-back)*
El material de cerámica IPS Empress
®
Esthetic Veneer es un material de estratifi-
cación reforzado con leucita para la técnica de reducción (cut-back). En esta técnica,
las r
estauraciones totalmente anatómicas de IPS Empr
ess CAD (carillas y cor
onas ante
-
rior
es) se r
educen en el ter
cio incisal hasta obtener una estructura de mamelón de
dentina y seguidamente se caracterizan utilizando materiales en forma de pasta y
polvo, con el fi
n de diseñar un ter
cio incisal natural y estético.
IPS Empress Veneer Kit está compuesto de una selección de las pastas Wash y de los
materiales de estratifi
cación más popular
es necesarios para la técnica de r
educción de
las r
estauraciones IPS Empr
ess (Esthetic y CAD). Con estas masas se obtiene una adhe
-
sión excelente y homogénea en la restauración reducida. Los materiales de estratifi-
cación pr
esentan una fl
uor
escencia similar al incisal y una opalescencia natural. Existen
pastas W
ash adicionales y materiales de estratifi
cación como r
eposiciones, que están
indicadas en la guía de colores de material que se suministra con el Kit.
* Por favor, consulte las tablas de combinación para los colores y materiales disponibles.
16

Cocción de cerámica
La cocción de las restauraciones IPS Empress CAD, se realiza normalmente en una
bandeja de cocción de nido de abeja. Con este fin, las restauraciones se sitúan
bien sobre almohadillas de cocción o espigas metálicas, utilizando la pasta
de cocción auxiliar, IPS
®
Object Fix.
La cocción de cerámica se realiza en el horno de cerámica Programat
®
P300. Este
horno convence a los usuarios, gracias a su eficacia económica y su sencillo concepto
de funcionamiento. El horno se suministra desde fábrica con programas predetermina-
dos para IPS Empress e IPS e.max.
Grabado y silanización
Para obtener una sólida adhesión entre el material de cementación y la restauración
de cerámica sin metal, se r
equier
e un acondicionamiento de la superfi
cie de cerámica,
con el fin de prepararlo para la cementación adhesiva. Por regla general, las cerámicas
de vidrio se graban con,
IPS
®
Ceramic Etching Gel.
El grabado ácido pr
oduce superfi
cies de adhesión r
etentivas, que
aumentan la adhesión entre el composite de cementación y la
r
estauración de cerámica sin metal.
El gel de grabado IPS Ceramic Etching Gel, se ha desarr
ollado
exclusivamente para el uso extraoral y no debe aplicarse en la
cavidad oral.
La posterior silanización de la superfi
cie de adhesión con
Monobond-S, tiene como
resultado una sólida adhesión entre el material de cerámica sin metal y el composite
de cementación. El silano de adhesión es por lo tanto una importante contribución
a la r
esistencia de adhesión entr
e las r
estauraciones IPS Empr
ess CAD y la
estructura dental.
17

Cementación
En la preparación de la cementación adhesiva, se debe conseguir un aislamiento fiable
del campo de tratamiento, preferentemente con dique de goma.
OptraDam
®
es un cómodo dique de goma tridimensional, que se coloca fácil y
rápidamente gracias a su forma anatómica y el aro integrado. Dada su
gran flexibilidad y novedoso concepto funcional, OptraDam se hace
muy cómodo para los pacientes, incluso en tratamiento muy largos.
La delicada separación circular de los labios y mejillas, proporcionan
un mucho mejor acceso a un más amplio campo de tratamiento
con aislamiento simultáneo.
Total Etch
Para la preparación de la cementación adhesiva con Variolink, se utiliza Total Etch,
que es un gel de grabado de esmalte y acondicionador de dentina aplicado
durante la cementación adhesiva de las restauraciones de cerámica sin
metal.
Para la cementación adhesiva de las restauraciones IPS Empress CAD, puede elegir
entre los probados composites de cementación de Ivoclar Vivadent. La cementación
adhesiva logra una excelente adhesión entre la preparación y la restauración.
Variolink
®
Multilink
®
(Variolink II, Variolink Veneer)
(Multilink, Multilink Automix)
Carillas
3
––
Inlays
3
3
Onlays
3
3
Coronas parciales
3
3
Coronas anteriores y posteriores
3
3
3
indicado
––
contraindicado
Variolink
®
II
El composite de cementación de polimerización dual Variolink II se lleva
utilizando durante más de diez años en más de 20 millones de r
estaura
-
ciones. Es el líder mundial en cuanto al concepto de material altamente
estético. Testigo de este hecho, son los numerosos premios como el mejor
pr
oducto en la categoría de composites de cementación adhesiva y los
excelentes r
esultados de estudios clínicos a largo tiempo.
18

Variolink
®
Veneer
Composite de cementación totalmente fotopolimerizable en 7 colores de “Value” para
la cementación adhesiva de restauraciones de cerámica sin estructura metálica
translúcidas con un grosor de capa de < 2.0 mm (carillas, inlays, onlays).
Multilink
®
Automix
El cemento universal de cementación con base de resina autopolimerizable (con
o
pción de fotopolimerización) Multilink, ofrece una amplia gama de indicaciones y
p
roduce una muy alta resistencia de adhesión sobre todas las superficies de materiales.
Junto con el Primer para autograbado, que se aplica como una sencilla capa preliminar
sobre esmalte y dentina, Multilink se aplica de manera rápida y eficaz.
Las lámparas LED de la familia
bluephase
®
se utilizan para la polimerización de
composites adhesivos fotopolimerizables y de polimerización dual. La alta intensidad
de luz que genera bluephase permite simultáneamente, tiempos de polimerización
comparativamente cortos, consiguiendo al mismo tiempo una buena profundidad de
polimerización.
bluephase 16i se utiliza especialmente para la exigente polimerización de restaura-
ciones de cerámica sin metal cementadas de manera adhesiva. Durante el proceso, se
utiliza toda la potencia de la LED de alto rendimiento. Las restauraciones de cerámica
sin metal se incorporan lo más rápidamente posible.
Pulido
OptraFine, el sistema de pulido clínico de alto rendimiento desarrollado especial-
mente para materiales cerámicos, combina su mayor eficacia con unos extraordinarios
resultados de pulido, tanto respecto a la baja rugosidad de la superficie
como a su extraordinario brillo estético. OptraFine no deja ningún
resultado sin alcanzar. Frente a otros pulidores de cerámica, OptraFine
es autoclavable y por ello, reutilizable. OptraFine está disponible
en forma de “llama”, “capa” y “disco”.
El pulido se realiza en tres pasos:
– Acabado/alisado de las superficies utilizando la punta de acabado F
–
Pulido utilizando la punta de pulido P
–
Pulido a alto brillo, utilizando el cepillo de alto brillo y la pasta de pulido de
diamante HP
19

Realización de una restauración
IPS Empress CAD
IPS Empress CAD Inlays / Onlays – sólo pulido
Los bloques de IPS Empress CAD, están idealmente indicadas para pequeñas restauraciones con un material de cerámica
sin metal, así como para reemplazar restauraciones menos estéticas. Gracias a su natural efecto camaleón, las restaura-
ciones IPS Empress CAD, se integran de manera maravillosa en la estructura dental residual. Durante esta técnica de
trabajo, la restauración se pule e incorpora a boca después del fresado con el sistema CAD/CAM. El brillo de la superficie
se obtiene mediante el pulido manual. Por ello, este método de procesamiento es muy eficiente y conduce a resultados
estéticos de manera rápida y fácil.
P
reparación
Después de la toma del color del diente, la preparación se realiza de acuerdo con las normas de preparación. Como
preparación para la imagen intraoral, la preparación limpia y seca se cubre con el spray clínico de contraste IPS Contrast
Spray Chairside con sólo una pequeña atomización.
Situación de partida; se reemplazará la restauración de amalgama del segundo molar.
Después de la preparación
Atomización de la prepar
ación con IPS Contr
ast Spr
ay Chairside
Prepar
ación lista la imagen intraoral
Por favor siga las correspondientes instrucciones de uso y/o manuales del sistema CAD/CAM correspondiente
utilizado, para obtener una mayor información sobre el procedimiento de trabajo CAD/CAM. Se deben seguir
las instrucciones de uso de los fabricantes.
20

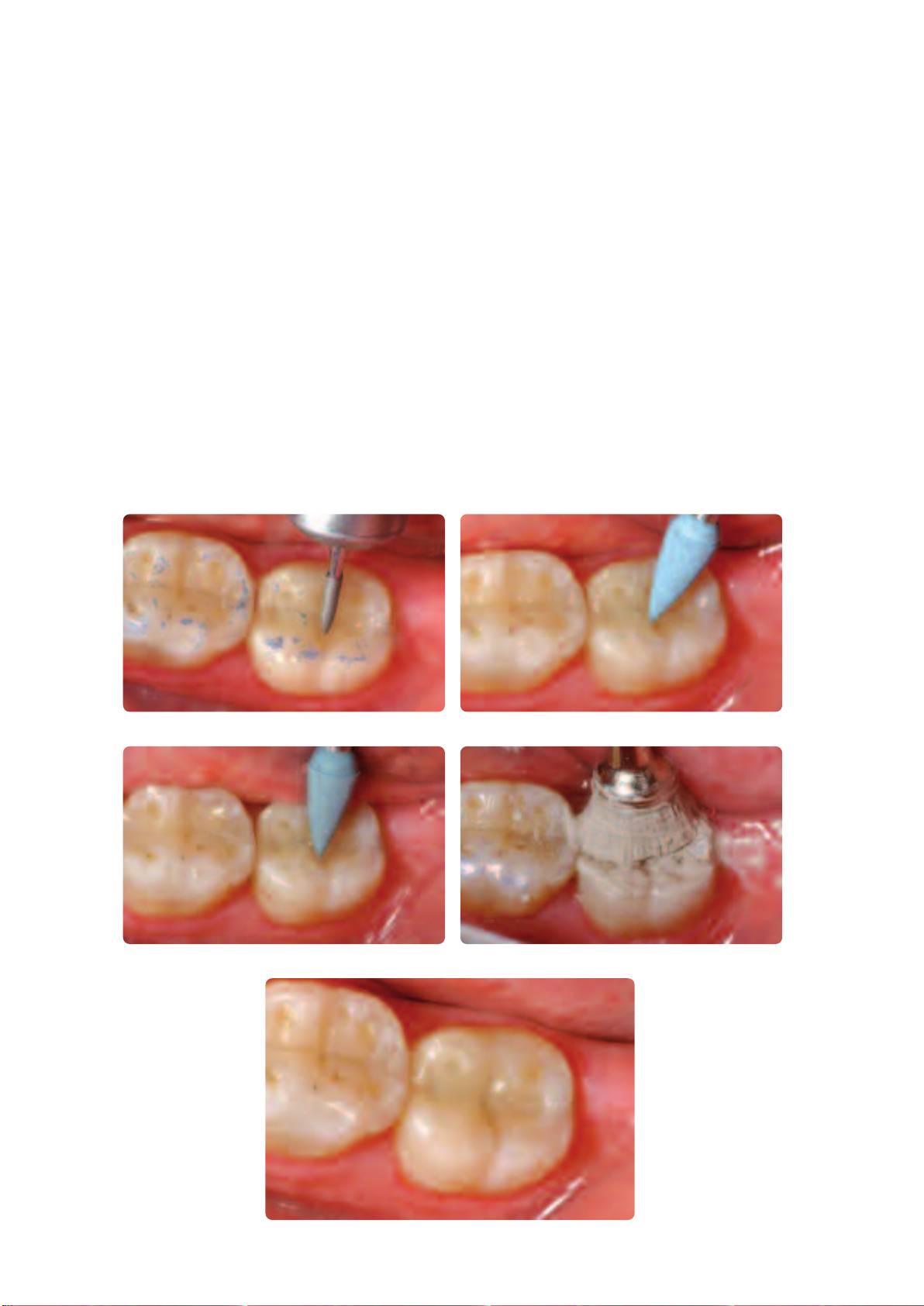
Acabado
Para realizar el acabado de cerámicas de vidrio, es indispensable utilizar instrumental de desbastado adecuado. Si se
utilizan instrumentos de desbastado erróneos, se pueden producir desportillados marginales y sobrecalentamiento local.
Se recomienda el siguiente proceso para el acabado de las restauraciones IPS Empress CAD:
– Utilizar únicamente instrumentos de desbastado apropiados, de grano fino (tamaño de grano < 60 µm) sea cerámico o
diamante, a una velocidad de hasta 20.000 rpm y poca presión.
– Se debe evitar el sobrecalentamiento de la cerámica de vidrio
– Rebajar el jito de soporte y tener en cuenta los puntos de contacto.
–
Realizar correcciones individuales, si fueran necesarias.
–
Probar y ajustar oclusión /articulación, si fuera necesario.
– Pulido extraoral de las áreas proximales y superficies grandes antes de la cementación.
Rebajar el jito de soporte y tener en cuenta los contactos proximales Pulido extraoral de las áreas proximales y superficies de mayor tamaño
Cementación adhesiva
Acondicionamiento de la restauración IPS Empress CAD
Al acondicionarla para su colocación, grabar la r
estauración IPS Empr
ess CAD durante 60 segundos utilizando el gel de
grabado ácido IPS Ceramic Etching Gel y seguidamente limpiarla bajo agua corriente. A continuación silanizar la
r
estauración con Monobond-S, Seguir las correspondientes instrucciones de seguridad.
Grabado de la restauración IPS Empress CAD utilizando IPS Ceramic Etching Gel Silanización de la restauración IPS Empress CAD, utilizando Monobond-S
21

Acondicionamiento de la preparación
Se puede elegir entre los probados composites de cementación de Ivoclar Vivadent para la cementación adhesiva. En el
caso documentado, se utilizaron Variolink II/Syntac.
– Para acondicionar la preparación para la cementación adhesiva con Variolink II/Variolink Veneer, se utilizó Total Etch.
Total Etch es un material de grabado de esmalte (30 segundos de grabado) y acondicionamiento de dentina
(10–15 segundos de grabado).
– Para acondicionar la preparación para la cementación adhesiva, se utiliza Multilink Automix, Multilink Primer A/B.
Colocación de restauraciones IPS Empress CAD
Colocar la restauración y eliminar el exceso Para la polimerización, cubrir los márgenes de la restauración con gel de glicerina y
polimerizar la restauración desde todos los puntos
22

Pulido
Después de la cementación adhesiva, la oclusión/articulación de la restauración se ajusta utilizando diamantes. A con-
tinuación, la restauración se pule manualmente en 3 fáciles pasos. Con el fin de obtener una superficie con un brillo
natural, seguir las siguientes instrucciones:
– Para el pulido, recomendamos OptraFine, el sistema de pulido clínico de diamante de alto rendimiento.
– Respetar los puntos de contacto y márgenes durante todo el proceso de pulido.
– Utilizar la velocidad adecuada y poca presión para evitar generar excesivo calor.
– Pulir las áreas proximales y superficies de mayor tamaño extraoralmente antes de la cementación
P
aso 1:
A
cabar/alisar las superficies (p.ej. áreas proximales) utilizando el instrumento de acabado F (velocidad máxima 15.000 rpm,
refrigeración con agua). Este instrumento alisa las marcas del fresado de diamante a 60 µm de la unidad CAD/CAM.
Paso 2:
Pulir la restauración utilizando el instrumento de pulido P (velocidad máxima 15.000 rpm, refrigeración con agua).
Paso 3:
Pulir la restauración a alto brillo utilizando el cepillo de alto brillo y la pasta de pulir de diamante (velocidad máxima
15.000 rpm).
Ajustar la oclusión/articulación utilizando un diamante fino
Acabado/alisado de las superficies utilizando el instrumento de acabado F (azul claro)
Pulir utilizando el instrumento de pulido P (azul oscuro)
Pulido a alto brillo utilizando el cepillo de alto brillo y pasta de diamante HP
Restauración IPS Empress CAD acabada y pulida
23

IPS Empress CAD Inlays / Onlays – maquillado / glaseado
La técnica 2 en 1 está indicada para un eficaz glaseado y maquillaje de inlays, onlays y coronas parciales. Con esta técnica,
la cocción de glaseado y maquillaje se realiza en un solo paso. Con esta técnica no permite tantas correcciones de color
como la técnica de maquillaje individual, las posibles correcciones son más que suficientes para el tamaño de la restau-
ración. Si se desea realizar correcciones de color más intensos y de mayor tamaño, recomendamos realizar una
cocción de maquillaje y caracterización por separado (según se describe en el siguiente capítulo).
Por favor siga las correspondientes instrucciones de uso y/o manuales del sistema CAD/CAM correspondiente
utilizado, para obtener una mayor información sobre el procedimiento de trabajo CAD/CAM. Se deben seguir
las instrucciones de uso de los fabricantes.
Acabado y preparación de la cocción de maquillaje y glaseado
Para el acabado de la cerámica de vidrio, es indispensable utilizar instrumentos de fresado
apropiados. Si se utiliza instrumental de fresado erróneo, pueden producirse desportillados
marginales y sobrecalentamiento local. El proceso recomendado para el acabado de las
restauraciones IPS Empress CAD:
– Utilizar únicamente instrumentos apropiados de grano fino (tamaño de grano < 60 µm)
cerámicos o diamantes a una velocidad de hasta 20.000 rpm y poca presión.
– Se debe evitar el sobrecalentamiento de la cerámica de vidrio.
– Rebajar el jito de sujeción y tener en cuenta los puntos de contacto proximales.
– Si fuera necesario, realizar las correcciones de forma individual.
Rebajar el jito de sujeción y tener en cuenta los contactos prox
imales
Antes de la cocción del maquillaje y glaseado, las restauraciones deben estar libres de suciedad
y grasa. Evitar cualquier contaminación después de la limpieza. Respetar el siguiente proceso:
– Limpiar la restauración con ultrasonido en un baño de agua o arenar con Al
2
O
3
a 0.5 bar
de presión (Cuidado: abrasivo) y limpiar bajo agua corriente o utilizando pistola de vapor.
–
Algunos dispositivos de ar
enado r
equieren diferentes correcciones para el proceso de
arenado planeado.
Limpiar la restauración antes del maquillaje
Técnica 2 en 1 – Cocción de maquillaje y glaseado utilizando IPS Empress Universal
Una vez que se ha limpiado la restauración, aplicar el material de los maquillajes y el glaseado en 2 pasos. Primero, se
aplica la pasta de glaseado, seguida por los maquillajes, que se aplican sobre la capa de glaseado sin cocer. Se debe
r
espetar el siguiente pr
oceso de trabajo:
Paso 1 – Aplicación del material de glaseado
–
Extraer la pasta de glaseado IPS Empr
ess Universal de la jeringa y mezclar minuciosamente.
–
Diluir el material hasta obtener la consistencia deseada utilizando el liquido de glaseado y maquillaje IPS Empr
ess
Universal. No diluir el material en exceso, ya que esto podría provocar que el proceso de glaseado sea difícil de controlar.
–
Aplicar el material de glaseado sobr
e todas las superfi
cies externas de la restauración.
–
Se debe evitar que el material entr
e en contacto con las superfi
cies inter
nas.
– Evitar encharcamientos y capas de material de glaseado excesivamente gruesas.
–
Las capas demasiado fi
nas, confi
eren un brillo insuficiente.
24

