Ivoclar Vivadent IPS Empress CAD Chairside - de-en-es-it-ru – page 4
Manual for Ivoclar Vivadent IPS Empress CAD Chairside - de-en-es-it-ru

IPS
Empress CAD –
Overview of the treatment procedure
In addition to IPS Empress CAD, coordinated products for the entire chairside treatment procedure are available. Products
coordinated with each other and the individual working steps increase the processing comfort and the overall quality of
the restoration. This enables the fabrication of highly aesthetic and durable IPS Empress CAD restorations with a maximum
of efficiency and cost effectiveness.
Treatment procedure
Working Steps
Ivoclar Vivadent Products
Tooth Shade Chromascop and Bleach BL
Determination Shade Guide
To determine the tooth shade of
Shade Determination
the non-prepared tooth
Die Shade IPS
®
Natural Die Material
Determination To determine the die shade of the
prepared tooth
OptraGate
®
Provides easy access to the extended treatment area by cir-
cular retraction of lips and cheeks.
OptraDam
®
Intra-Oral Imaging
Anatomically shaped, 3-dimensional rubber dam.
IPS
®
Contrast Spray Chairside
Enables optimum imaging through detailed definition of
the edges.
IPS Empress
®
CAD Blocks
Milling
Leucite-reinforced ceramic blocks for the CAD/CAM
technology
Tetric
®
Color
Light-curing composite stains for internal characterization.
IPS Empress Esthetic Veneer
Staining and
Opalescent ceramic materials for individual, aesthetic
Veneering
supplements.
IPS Empress Universal Shade / Stains
Stains in paste form for individual surface
characterization.
IPS
®
Object Fix
Auxiliary firing paste to support all-ceramic restorations.
Ceramic Firing
Programat
®
P300
The ceramic furnace for optimum firing results.
IPS
®
Ceramic Etching Gel
For the fabrication of retentive bonding surfaces on
ceramic restorations.
Etching / Silanating
Monobond-S
®
Produces silanated bonding surfaces on etched all-
ceramic restorations.
OptraDam
®
Anatomically shaped, 3-dimensional rubber dam.
Variolink
®
II, Variolink Veneer, Multilink
®
Automix
Cementation
Tried-and-tested adhesive cementation systems.
bluephase
®
The cordless high-performance LED for all indications.
OptraFine
Polishing
High-performance chairside diamond polishing system for
ceramic materials.
13

Shade determination
The correct tooth shade is the basis for a restoration with a life-like appearance. After tooth cleaning, the tooth shade of
the non-prepared tooth and/or the adjacent teeth is determined. Individual characteristics have to be taken into considera-
tion when determining the tooth shade. If a crown preparation is planned, for example, the cervical shade should also be
determined. In order to achieve true-to-nature results, shade determination should be carried out at daylight. Furthermore,
the patient should not wear clothes of intensive colours and/or lipstick. Basically, it has to be kept in mind that the final
shade of the restoration is the result of the following individual shades:
– Die shade
– Shade of the ceramic block
– Shade of the layering ceramic
– Shade of the cementation material
IPS Natural Die Material
In order to facilitate the reproduction of the tooth shade, the shade
of the prepared tooth can be determined with the help of the
IPS Natural Die Material shade guide. This facilitates the fabrication
of the all-ceramic restoration and the individual characteristics of the
preparation may also be taken into consideration. By fabricating a
working die made of IPS Natural Die Materials in the respective
shade of the preparation, the shade and brightness value of the
IPS Empress CAD restorations may be checked during the individual
fabrication steps.
14

Intra-oral imaging
To prepare the optical imaging, OptraGate
®
is placed to facilitate
access to the treatment field. OptraGate is a clinical auxiliary device
that retracts lips and cheeks during dental treatment. It enables a full
view of the treatment field, facilitates the accessibility, and improves
the moisture control in the oral cavity.
IPS
®
Contrast Spray Chairside is used to achieve
optimum recordings for CAD/CAM restorations. The
IPS Contrast Spray Chairside balances out the different
optical properties of the natural tooth (dentin and
enamel) and thus permits optimum impressions using a camera. With
the atomizing nozzle, an optimum covering layer with a detailed
representation of the preparation surfaces and margins is achieved
easily and efficiently with only a short spray
discharge. Angled atomizing heads are
available for the spray. Please observe the
corresponding Instructions for Use.
Milling
To mill the restoration, the IPS Empress CAD Block is selected in accordance with the
corresponding clinical situation. The clinical situation not only determines the
selection of the block in the required shade and translucency, but also the size of
the block used. Once the desired block has been selected, it is mounted in the
CAM unit and the restoration is milled.
Several options are available to finish and complete the restorations. Please refer
to the Chapter "Practical Procedure - Fabrication of IPS Empress CAD
Restorations" for detailed descriptions of the individual working steps of the
various processing methods.
15

Staining and veneering
There are three different techniques for staining, characterizing, and veneering
IPS Empress CAD:
1. Internal characterization
Tetric
®
Color are light-curing composite stains for individualized characterizations.
They are ideally suitable for internal characterizations (cementation side) of
IPS Empress CAD restorations (e.g. veneers). After etching (60 seconds with
IPS Ceramic Etching Gel) and silanating (Monobond-S), the stains are applied. After
that, the stains are polymerized with a curing light of the bluephase family. No further
ceramic firing cycles should be conducted after the "internal characterization" with
Tetric Color.
2. External characterization*
IPS Empress
®
Universal Shade / Stains are ceramic stains for individualized
characterizations. Among other things, they are ideal for external staining and
characterization of IPS Empress CAD restorations.
The dentin stains are available in 9 A-D and 15 Chromascop shades. For individualized
characterizations, 14 intensive stains are available. To reproduce the incisal
area, there are 2 Incisal Shades, which provide the incisal third with
optical translucency and an in-depth effect. For the final glaze firing
of the IPS Empress restorations, a smooth and fine-grained glazing paste is available.
3. Cut-back technique*
IPS Empress
®
Esthetic Veneer ceramic material are leucite-reinforced layering
materials for the cut-back technique. In this technique, fully anatomical IPS Empress
CAD restorations (veneers and anterior crowns) are reduced in the incisal third to a
dentin-mamelon structure and subsequently completed using materials in paste and
powder form in order to design a true-to-nature and aesthetic incisal third.
The IPS Empress Veneer Kit comprises a selection of the most popular wash pastes and
layering materials required for the cut-back technique of IPS Empress restorations
(Esthetic and CAD). With the wash pastes, an excellent and homogeneous bond with
the reduced restoration is achieved. The layering materials feature incisal-like
fluorescence and true-to-nature opalescence. Additional wash pastes and layering
materials available as Refills are indicated on the material shade guide supplied with
the Kit.
* please refer to the Combination Tables for the available shades and materials.
16

Ceramic firing
IPS Empress CAD restorations are generally fired on a honey-comb firing tray. For that
purpose, the restorations are placed either on a firing pillow or metal pins. As an
alternative and to better secure the restorations on the metal pins,
IPS
®
Object Fix auxiliary firing paste can be used.
Ceramic firing is conducted in the Programat
®
P300. ceramic furnace. The furnace
convinces users with its economic efficiency and easy operating concept. The furnace
is supplied from the factory with preset programs for IPS Empress and IPS e.max.
Etching and silanating
Conditioning of the ceramic furnace to prepare for adhesive cementation is required
for a sound bond between the cementation material and the all-ceramic restoration.
Generally, glass-ceramics are etched using IPS
®
Ceramic Etching Gel.
Etching produces retentive bonding surfaces, which increases the bond
between the luting composite and the all-ceramic restoration.
IPS Ceramic Etching gel is exclusively intended for extra-oral use
and must not be applied in the oral cavity.
Subsequent silanating of the bonding surface using Monobond-S results in a sound
bond between the etched all-ceramic material and the luting composite. The
bonding silane is thus an important contributor to the bonding strength between
the IPS Empress CAD restorations and the tooth structure.
17

Cementation
In preparation for adhesive cementation, reliable isolation of the treatment field must
be achieved, preferably with a rubber dam.
OptraDam
®
is a convenient, 3-dimensional rubber dam, which can be quickly and
easily inserted thanks to its anatomical shape and the integrated
frame. Given its high flexibility and new functional concept, the
OptraDam is very comfortable for patients even for longer
treatments. The gentle, circular retraction of lips and cheeks enables
substantially facilitated access to an enlarged treatment field with
simultaneous isolation.
Total Etch
For the preparation of adhesive cementation with Variolink, Total Etch is used. It is an
enamel etching and dentin conditioning gel used during the adhesive
cementation of all-ceramic restorations.
For the adhesive cementation of IPS Empress CAD restorations, you may choose
between tried-and-tested luting composites from Ivoclar Vivadent. Adhesive
cementation achieves an excellent bond between the preparation and the restoration.
Variolink
®
Multilink
®
(Variolink II, Variolink Veneer)
(Multilink, Multilink Automix)
Veneers
––
Inlays
Onlays
Partial crowns
Anterior and posterior crowns
indicated
––
contraindicated
Variolink
®
II
The dual-curing luting composite Variolink II has been used for more than ten
years and in over 20 million restorations. It is the world's leading highly
aesthetic material concept.
Numerous awards as the best product in the category of adhesive luting
composites and excellent results from clinical long-term studies are testimony
to this success.
18

Variolink
®
Veneer
Purely light-curing luting composite in 7 "Value" shades for the adhesive cementation
of translucent all-ceramic restorations with a layer thickness of < 2.0 mm (veneers,
inlays, onlays).
Multilink
®
Automix
The universal, self-curing (with light-curing option) resin based luting cement Multilink
offers a broad range of indications and produces very high adhesive strength on all
material surfaces. Together with the self-etching Primer, which is applied as a simple
preliminary layer on enamel and dentin, Multilink is processed quickly and efficiently.
LED lights of the bluephase
®
family are used for the polymerization of light-curing
and dual-curing adhesive composites. The high light intensity achieved with bluephase
permits comparatively short polymerization times with simultaneous good polymeriza-
tion depth.
Especially for the demanding polymerization of adhesively cemented all-ceramic
restorations, bluephase 16i is used. In the process, the entire strength of the high
performance LED is utilized. All-ceramic restorations are incorporated as quickly as
possible.
Polishing
OptraFine, the specially developed, high performance chairside diamond polishing
system for ceramic materials combines the highest efficiency with outstanding
polishing results. With regard to both low surface roughness and
outstanding aesthetic gloss, OptraFine leaves nothing left to be desired.
In contrast to other ceramic polishers, OptraFine is autoclavable and
therefore reusable. OptraFine is available in the shapes
"flame", "cup", and "disc".
Polishing is carried out in three steps:
– Finishing/smoothing out of the surfaces using the Finisher F
– Polishing using the Polisher P
– Polishing to a high gloss using the high-gloss brush and diamond polishing paste HP
19

Fabrication of an IPS Empress CAD Restoration
IPS Empress CAD Inlays / Onlays – polished
IPS Empress CAD restorations are ideally suitable to restore small defects with an all-ceramic material, as well as to replace
less aesthetic restorations. Given the true-to-nature chameleon effect, IPS Empress CAD restorations beautifully blend in
with the residual tooth structure. In this processing technique, the restoration is polished and incorporated after milling in
the CAD/CAM system. The surface lustre is achieved by manual polishing. Therefore, this processing method is very effi-
cient and leads to aesthetic results in a quick and easy fashion.
Preparation
After the determination of the tooth shade, preparation is carried out according to the preparation guidelines. As a
preparation for intra-oral imaging, the cleaned and dried preparation is covered with IPS Contrast Spray Chairside with one
short spray discharge.
Starting situation. the amalgam restoration in the second molar is to be replaced
After preparation
Spraying the preparation with IPS Contrast Spray Chairside Preparation ready for intra-oral imaging
Please refer to the corresponding Operating Instructions and/or Manuals of the respective CAD/CAM system
for further information on the CAD/CAM processing procedure. The instructions by the manufacturer must be
observed.
20

Finishing
For finishing glass-ceramics, appropriate grinding instruments are indispensable. If the wrong grinding instruments are
used, marginal chipping and local overheating my occur.
The following procedure is recommended for finishing IPS Empress CAD restorations:
– Use only suitable, fine-grained (grain size < 60 µm), ceramic-bonded grinding instruments or diamonds at a speed of up
to 20,000 rpm and little pressure.
– Overheating the glass-ceramic must be prevented.
– Smooth out attachment point of the holder and take the proximal contact points into account.
– Carry out individual shape adjustments, if required.
– Try in and adjust occlusion/articulation, if necessary.
– Extra-oral polishing of proximal areas and large surfaces prior to cementation.
Smooth out attachment point and take proximal contacts into account Extra-oral polishing of proximal areas and larger surfaces
Adhesive cementation
Conditioning the IPS Empress CAD restoration
To condition it for placement, etch the IPS Empress CAD restoration for 60 seconds using IPS Ceramic Etching Gel and
subsequently clean it under running water. Then, silanate the restoration using Monobond-S. Observe the corresponding
safety instructions.
Etching of the IPS Empress CAD restoration using IPS Ceramic Etching Gel Silanating the IPS Empress CAD restoration using Monobond-S
21

Conditioning the preparation
You may choose between tried-and-tested luting composites from Ivoclar Vivadent for the adhesive cementation. In the
documented case, Variolink II / Syntac were used.
– To condition the preparation for adhesive cementation with Variolink II/Variolink Veneer, Total Etch is used. Total Etch is
an enamel etching (30 seconds of etching) and dentin conditioning material (10–15 seconds of etching).
– To condition the preparation for adhesive cementation with Multilink Automix, Multilink Primer A/B is used.
Position the restoration and remove excess. For polymerization,cover the restoration margin with glycerine gel and
polymerize the restoration from all sides.
22

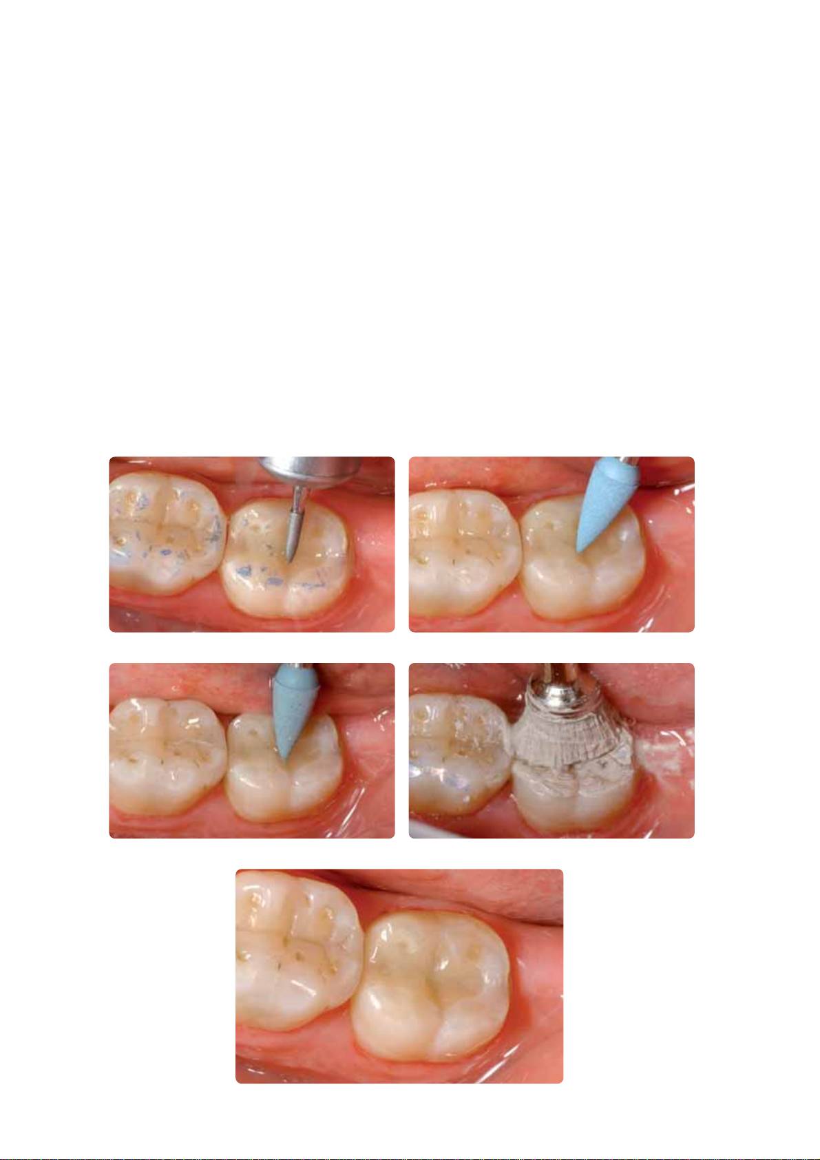
Polishing
After adhesive cementation, the occlusion/articulation of the restoration is adjusted using diamonds. Subsequently, the
restoration is manually polished in 3 easy steps. In order to achieve a life-like surface gloss, follow the instructions below:
– For polishing, we recommend OptraFine, the high-performance, chairside diamond polishing system.
– Observe contact points and margins during the entire polishing procedure!
– Use the corresponding speed and little pressure to avoid heat development.
– Polish proximal areas and large surfaces extra-orally prior to cementation.
Step 1:
Finish/smooth out the surfaces (e.g. proximal areas) using the Finisher F (speed: max. 15,000 rpm, water cooling). This
polisher smoothes out the milling grooves of the approx. 60 µm diamond of the CAD/CAM milling unit.
Step 2:
Polish restoration using the Polisher P (speed: max 15,000 rpm, water cooling)
Step 3:
Polish the restoration to a high gloss using the high-gloss brush and diamond polishing paste HP
(speed: max. 15,000 rpm).
Adjusting the occlusion/articulation using a fine diamond
Finishing/smoothing out the surfaces using Finisher F (light-blue)
Polishing using Polisher P (dark-blue)
High-gloss polishing using the high-gloss brush and diamond paste HP
Completed, polished IPS Empress CAD restoration
23

IPS Empress CAD Inlays / Onlays – stained / glazed
The 2-in-1 technique is suitable for efficient glazing and staining of inlays, onlays, and partial crowns. In this technique,
the glaze and stain firing is conducted in one single step. Even though this technique does not permit as many shade
adjustments as a separate stain firing, the possible adjustments are entirely sufficient for the size of the restoration. If more
intensive and extensive shade adjustments are desired, we recommend conducting a separate stain and characterization
firing (as described in the following chapter).
Please refer to the corresponding Operating Instructions and/or Manuals of the respective CAD/CAM system
for further information on the CAD/CAM processing procedure. The instructions by the manufacturer must be
observed.
Finishing and preparing for stain and glaze firing
For finishing glass-ceramics, appropriate grinding instruments are indispensable. If the
wrong grinding instruments are used, marginal chipping and local overheating my occur.
The following procedure is recommended for finishing IPS Empress CAD restorations:
– Use only suitable, fine-grained (grain size < 60 µm), ceramic-bonded grinding instruments
or diamonds at a speed of up to 20,000 rpm and little pressure.
– Overheating the glass-ceramic must be prevented.
– Smooth out attachment point of the holder and take the proximal contact points into
account.
– Carry out individual shape adjustments, if required.
Smooth out attachment point and take proximal contacts into account
Before the stain and glaze firing, the restorations must be free of dirt and grease. Avoid any
contamination after cleaning. Observe the following procedure.
– Clean the restoration with ultrasound in a water bath or blast with Al
2
O
3
at 0.5 bar
pressure (Caution: abrasive) and clean under running water or using the steam jet.
– Certain blasting devices require different settings for the intended blasting procedure.
Clean the restoration before staining
2-in-1 Technique – Stain and glaze firing using IPS Empress Universal
Once the restoration has been cleaned, apply the stains and glazing material in 2 steps. First, the glazing paste is applied,
followed by the stains, which are applied on the unfired glaze layer. The following working procedure should be observed.
Step 1 – Application of the glazing material
– Extrude IPS Empress Universal Glazing Paste from the syringe and mix thoroughly.
– Thin the material to the desired consistency using IPS Empress Universal Glaze and Stain Liquid. Do not excessively dilute
the material, since this may render the glazing procedure difficult to control.
– Apply the glazing material on the entire outer surfaces of the restoration.
– The glazing material must not come into contact with the inner aspects of the restoration.
– Avoid pooling and excessively thick glazing material layers.
– Too thin glazing material layers result in an unsatisfactory gloss.
24

Evenly apply the glazing material on the entire outer surfaces of the restoration.
Step 2 – Application of Shades / Stains
– Extrude IPS Empress Universal Shade or Stains from the syringe and mix thoroughly.
– Thin the material to the desired consistency using IPS Empress Universal Glaze and Stain Liquid.
– Apply the mixed Shade material directly into the unfired glazing material layer.
– Intensify the corresponding dentin shade in the cervical and occlusal areas using IPS Empress Universal Shades.
– To imitate the incisal area and translucency in the incisal third, use IPS Empress Universal Shade Incisal.
– Apply individualized effects and characterizations on cusps and in fissures using the Stains materials. Only apply the
Stains once staining with the Shade materials has been completed.
– Apply the Stains thinly and in a controlled manner on the unfired glazing material layer using a brush.
Apply the mixed Shade material directly into the unfired glazing material layer. Intensify the
Apply individualized effects and characterizations on cusps and in fissures using
corresponding dentin shade in the cervical and occlusal areas and use IPS Empress Universal
the Stains materials.
Shade Incisal to imitate the incisal areas.
After glazing and staining, the glaze and stain firing is conducted in a compatible ceramic furnace (e.g. P300).
The following points should be observed when placing the restoration in the furnace and setting the firing parameters:
– Support inlays, onlays, and partial crowns with a firing pillow and place them on a honey-comb firing tray.
– Place veneers as well as anterior and posterior crowns on metal pins and position them on the honey-comb firing tray.
– As an alternative to the firing pillow and to better secure the restoration
on the metal pins (particularly with veneers), a small amount of
IPS Object Fix may also be used.
– Restorations supported with a firing pillow on the honey-comb tray are
exposed to less heat due to their lower position in the firing chamber.
Therefore, in order to achieve a true-to-nature gloss, it is recommended
to extend the holding time from 1 minute to 2 minutes.
– Make sure that the firing pillow is regularly replaced in order to prevent
contamination. Keep firing pillows used for all-ceramic materials
separated from those used for metal-ceramics to avoid cross-contamination.
Place the objects on the honey-comb firing tray and start
the firing program
25

Firing parameters for the Stain and Glaze firing (note the temperature control)
IPS Empress CAD with IPS Empress Universal B S t T H V1 V2
Stain and Glaze firing 403°C 6' 100°C 790°C 1–2' – –
757°F 6' 180°F 1454°F 1–2' – –
B = Stand-by temperature °C / °F
T = Firing temperature °C /°F
V
1
= Vacuum-on temperature °C / °F
S = Closing time/minutes
H = Holding time / min.
V
2
= Vacuum-off temperature °C / °F
t
= Temperature increase rate °C/min./ °F/min.
Completed IPS Empress CAD restoration,stained and glazed in one step.
Optional
Subsequent adjustment
After completion, additional adjustment (e.g. contact points) may become necessary. For that purpose,
IPS Empress Add-On 770 °C/1418 °F is available.
Processing:
– Before the adjustment, the restoration must be free from dirt and grease. For that purpose, thoroughly clean the
restoration using the steam jet.
– Mix IPS Empress Add-On 770 °C / 1418 °F to a workable consistency. Make sure that the add-on material and liquid are
evenly mixed so that an optimum firing result can be achieved.
– Apply the mixed add-on material on the cleaned, desired areas using a brush and slightly blot them with an absorbent
cloth.
– Position the adjusted restoration on the firing tray and fire in the ceramic furnace.
– After firing, manually polish the supplemented areas to a high gloss.
Firing parameters for the corrective firing
IPS Empress CAD with B S t T H V1 V2
IPS Empress Add-On 770°C/1418°F
Corrective firing 403°C 4' 60°C 770°C 2' 450°C 769°C
757°F 4' 108°F 1418°F 2' 842°F 1417°F
B = Stand-by temperature °C / °F
T = Firing temperature °C /°F
V
1
= Vacuum-on temperature °C / °F
S = Closing time/minutes
H = Holding time / min.
V
2
= Vacuum-off temperature °C / °F
t
= Temperature increase rate °C/min./ °F/min.
26

IPS Empress CAD Veneers / Crowns – stained / glazed
If more intensive and excessive shade adjustments are desired, we recommend conducting them in several working steps.
To reproduce the tooth shade easily and reliably, an individual control die may be fabricated using the IPS Natural Die
Material. The IPS Empress Universal Shades and Stains are then applied in a first step and separately fired. The shade result
can be checked after firing. If required, the shade of the restoration may be intensified and adjusted to the individual
patient case by repeated application of the materials. Once the desired shade has been achieved and the individualized
characterizations completed, the glaze firing is conducted.
Please refer to the corresponding Operating Instructions and/or Manuals of the respective CAD/CAM system
for further information on the CAD/CAM processing procedure. The instructions by the manufacturer must be
observed.
Finishing
For finishing glass-ceramics, appropriate grinding instruments are indispensable. If the wrong grinding instruments are
used, marginal chipping and local overheating may occur.
The following procedure is recommended for finishing IPS Empress CAD restorations:
– Use only suitable, fine-grained (grain size < 60 µm), ceramic-bonded grinding instruments or diamonds at a speed of up
to 20,000 rpm and little pressure.
– Carefully finish the restoration margins using rubber and silicone polishers
(Speed: <10,000 rpm)
– Overheating the glass-ceramic must be prevented.
– Smooth out attachment point of the holder and take the proximal
contact points into account.
– Carry out individual shape adjustments, if required.
– Design the surface structure somewhat more pronounced, if necessary,
since it will be toned down by the glazing procedure.
Design individual shape adjustments and a true-to-nature
surface structure
Optional
Die fabrication using IPS Natural Die Material
The light-curing IPS Natural Die Material simulates the shade of the prepared tooth. Fabricate a control die of the selected
shade. This control die supports the optimum shade adaptation of the restoration to reproduce the given oral situation.
– Coat the inner surfaces of the ceramic restorations with IPS Natural Die Material Separator and allow it to react for a
short time.
– Apply die IPS Natural Die Material in the corresponding shade to the inner aspects of the restoration using the
IPS Condenser and adapt so that the entire inner aspect is coated and filled.
– Completely fill the restoration cavity and insert an IPS Die Holder into
the material and adapt excess material around the holder. Make sure
that the Die Material is well adapted to the restoration margins and
that no gaps are present.
– Polymerize the IPS Natural Die Material die with a commercial
polymerization light for 60 seconds.
– After polymerization, the die can be finished and or smoothed, if
required.
The control die made of IPS Natural Die Material is the optimum basis
for a true-to-nature all-ceramic restoration.
27

Preparing for staining
Before the stain and characterization firing, the restorations must be free
of dirt and grease. Avoid any contamination after cleaning.
Observe the following procedure.
– Clean the restoration with ultrasound in a water bath or blast with
Al
2
O
3
at 0.5 bar pressure (Caution: abrasive) and clean under running
water or using the steam jet.
– Certain blasting devices require different settings for the intended
blasting procedure.
Before staining, clean the restoration using the steam jet
Stain and glaze firing using IPS Empress Universal Shade and Stains
Once the restoration has been cleaned, the stain and characterization firing is conducted. Observe the following working
procedure:
– Extrude IPS Empress Universal Shade or Stains from the syringe and mix thoroughly.
– Thin the material to the desired consistency using IPS Empress Universal Glaze and Stain Liquid.
– For better wetting of the stains, a small quantity of IPS Empress Universal Glaze and Stain Liquid may be slightly rubbed
into the surface.
– Apply the mixed Shade material directly unto the surface.
– Intensify the corresponding dentin shade in the cervical and central crown thirds using IPS Empress Universal Shades.
– Excessively thick or thin material layers should be prevented.
– More intensive shades are achieved by repeated staining, rather than by applying thicker layers.
– To imitate the incisal area and translucency in the incisal third, use IPS Empress Universal Shade Incisal.
– Design individualized affects and characterizations using the Stains material.
– Apply the Stains thinly and in a controlled manner using a brush.
The dentin body is intensified using IPS Empress Universal Shade
The incisal area is imitated using IPS Empress Universal Shade Incisal
Individualized effects and characterizations are designed using IPS Empress Universal Stains
28

After staining, the stain and characterization firing is conducted in a compatible ceramic furnace (e.g. P300). The following
points should be observed when placing the restoration in the furnace and setting the firing parameters:
– Support inlays, onlays, and partial crowns with a firing pillow and place
them on a honey-comb firing tray.
– Place veneers as well as anterior and posterior crowns on metal pins
and position them on the honey-comb firing tray.
– As an alternative to the firing pillow and to better secure the restoration
on the metal pins (particularly with veneers), a small amount
IPS Object Fix may also be used.
Place the objects on the honey-comb firing tray and start
the firing program
Firing parameters for the Stain and Characterization firing (note the temperature control)
IPS Empress CAD with IPS Empress Universal B S t T H V1 V2
Stain and Characterization firing 403°C 6' 100°C 790°C 1' – –
757°F 6' 180°F 1454°F 1' – –
B = Stand-by temperature °C / °F
T = Firing temperature °C /°F
V
1
= Vacuum-on temperature °C / °F
S = Closing time/minutes
H = Holding time / min.
V
2
= Vacuum-off temperature °C / °F
t
= Temperature increase rate °C/min./ °F/min.
Optional
Shade check
To check the tooth shade after the first stain and characterization firing,
proceed as follows:
– Wet inner aspects of the restoration with IPS Contour Glaze and Stain
Liquid using a brush.
– Place the restoration on the individual control die and check the tooth
shade, as well as the individualized effects.
– If adjustments are required, apply the corresponding stains and fire
them using the above firing program.
Shade check. If necessary, the shade intensity can be increased
by additional staining.
29

Glaze firing with IPS Empress Universal Glaze
Once the desired shade has been achieved and the individualized characterizations completed, the glaze firing is
conducted.
Observe the following working procedure:
– Extrude IPS Universal Glazing Paste from the syringe and mix thoroughly.
– Thin the material to the desired consistency using IPS Empress Universal
Glaze and Stain Liquid. Do not excessively dilute the material, since this
may render the glazing procedure difficult to control.
– Apply the glazing material on the entire outer surfaces of the restoration.
– The glazing material must not come into contact with the inner aspects
of the restoration.
– Avoid pooling and excessively thick glazing material layers.
– Excessively thin glazing material layers result in an unsatisfactory gloss.
– The objects are positioned on the honey-comb firing tray same as for
the previous firing procedure.
Evenly apply the glazing material on the entire outer surfaces
of the restoration.
– Then, the glaze firing is conducted in a compatible ceramic furnace
(e.g. Programat P300).
– If the gloss is unsatisfactory after the first glaze firing, further glaze
firing procedures may be conducted using the same firing parameters.
Place the objects on the honey-comb firing tray and start
the firing program.
Firing parameters for the glaze firing (note the temperature control)
IPS Empress CAD with IPS Empress Universal B S t T H V1 V2
Glaze firing 403°C 6' 100°C 790°C 1–2' – –
757°F 6' 180°F 1454°F 1–2' – –
B = Stand-by temperature °C / °F
T = Firing temperature °C /°F
V
1
= Vacuum-on temperature °C / °F
S = Closing time/minutes
H = Holding time / min.
V
2
= Vacuum-off temperature °C / °F
t
= Temperature increase rate °C/min./ °F/min.
Completed, stained,and glazed IPS Empress CAD crown and veneer.
30

Optional
Subsequent adjustment
After completion, additional adjustment (e.g. contact points) may become necessary. For that purpose,
IPS Empress Add-On 770 °C/1418 °F is available.
Procedure:
– Before the adjustment, the restoration must be free from dirt and grease. For that purpose, thoroughly clean the
restoration using the steam jet.
– Mix IPS Empress Add-On 770 °C / 1418 °F to a workable consistency. Make sure that the add-on material and liquid are
evenly mixed so that an optimum firing result can be achieved.
– Apply the mixed add-on material on the cleaned, desired areas using a brush and slightly blot them with an absorbent
cloth.
– Position the adjusted restoration on the firing tray and fire in the ceramic furnace.
– After firing, manually polish the supplemented areas to a high gloss.
Firing parameters for the corrective firing
IPS Empress CAD with B S t T H V1 V2
IPS Empress Add-On 770°C/1418°F
Corrective firing 403°C 4' 60°C 770°C 2' 450°C 769°C
757°F 4' 108°F 1418°F 2' 842°F 1417°F
B = Stand-by temperature °C / °F
T = Firing temperature °C /°F
V
1
= Vacuum-on temperature °C / °F
S = Closing time/minutes
H = Holding time / min.
V
2
= Vacuum-off temperature °C / °F
t
= Temperature increase rate °C/min./ °F/min.
31

IPS Empress CAD Veneers / Anterior Crowns – Cut-back and layered
In order to individualize restorations in the incisal area so that they correspond with their natural model, the IPS Empress
CAD restoration is additionally veneered using opalescent IPS Empress Esthetic Veneer ceramic materials. The cut-back
technique is very efficient if the fully anatomical anterior crown or the veneer are first designed according to the definite
final shape. After that, the incisal third is reduced and subsequently provided with an individualized aesthetic veneer.
Veneer
Anterior crown
Layer thickness =
approx.
Layer thickness =
approx.
0.5–1.0 mm
0.5–1.0 mm
0.5 mm
0.5 mm
Minimum thickness
Limited layering area:
Minimum thickness
Limited layering area:
of the milled objects
of the milled objects
labial, incisal third
labial, incisal third
after the
after the
corresponding
corresponding
reduction
reduction
= 0.5 mm
0.5 mm
= 0.5 mm
0.5 mm
Fully anatomical, milled veneer and anterior crown,which are reduced in the incisal area.
Please refer to the corresponding Operating Instructions and/or Manuals of the respective CAD/CAM system
for further information on the CAD/CAM processing procedure. The instructions by the manufacturer must be
observed.
32

