Ivoclar Vivadent IPS Empress CAD Chairside - de-en-es-it-ru – page 11
Manual for Ivoclar Vivadent IPS Empress CAD Chairside - de-en-es-it-ru

ООббззоорр ббллооккоовв –– ттррааннссллююццееннттннооссттьь
Транслюцентность
Опаковость
Цвета A-D
A1 A2 A3 A3.5 B1 B2 B3 C2 D3
Транслюцентность
Опаковость
Chromascop
100 200 300
Bleach
BL1 BL2 BL3 BL4
BL
Блок HT Блок LT
9

ООббззоорр ппррооддууккттоовв ддлляя CCeerreecc
IIPPSS EEmmpprreessss CCAADD ддлляя CCeerreecc BBaassiicc KKiitt AA--DD
Базовый набор Basic Kit содержит блоки различных форм
в наиболее ходовых цветах A-D, а также необходимые
принадлежности, такие, как спрей для сканирования и
набор для полировки. Таким образом, в наборе Basic Kit
есть все необходимое для полного оснащения лечебного
процесса врача-стоматолога. Набор Basic Kit поставляется
в новом боксе для материалов, благодаря которому вы
можете компактно дооснастить свое рабочее место другими
наборами безметалловой керамики Ivoclar Vivadent,
например, IPS e.max.
ФФооррммаа ппооссттааввккии::
IIPPSS EEmmpprreessss CCAADD ддлляя CCeerreecc BBaassiicc KKiitt AA--DD
– 4 х 5 блоков НТ IPS Empress CAD для Cerec и InLab
Цвета/размеры A1/I 12, A2/I 12, A3/I 12, B1/I 12
– 5 х 5 блоков LТ IPS Empress CAD для Cerec и InLab
Цвета/размеры A1/C 14, A2/C 14, A3/C 14, B1/C 14, BL2/C 14
– 3 х мультиблока IPS Empress CAD для Cerec и InLab
Цвета/размеры A1/C 14 L, A2/C 14 L, A3/C 14 L
– 1 х 50 мл IPS Contrast Spray Chairside контрастный спрей
для врача-стоматолога
– 1 набор OptraFine
– 8 x OptraGate, размеры S, R
– 8 x OptraDam, размеры S, R
– 1 х расцветка Bleach BL
IIPPSS EEmmpprreessss CCAADD ддлляя CCeerreecc TTrriiaall KKiitt AA--DD
Набор Trial Kit содержит небольшое количество блоков
различных форм цветов A-D, а также необходимые
принадлежности, такие как спрей для сканирования,
фиксирующий материал, набор для полировки. Таким
образом, набор Trial Kit содержит все необходимое
для начала работы с реставрациями IPS Empress CAD.
ФФооррммаа ппооссттааввккии::
IIPPSS EEmmpprreessss CCAADD ддлляя CCeerreecc TTrriiaall KKiitt AA--DD
– 5 х 1 блоку НТ IPS Empress CAD для Cerec и InLab
Цвета/размеры A1/I 10, A2/I 10, A1/I 12, А2/I 12, А3/I 12
– 5 х 1 блоку LТ IPS Empress CAD для Cerec и InLab
Цвета/размеры A1/I 12, А2/I 12, A1/C 14, A2/C 14, A3/C 14
– 4 х мультиблока IPS Empress CAD для Cerec и InLab
Цвета/размеры A1/C 14, A2/C 14, A1/C 14 L, A2/C 14 L
– 1 х 50 мл IPS IPS Contrast Spray Chairside контрастный спрей
Информацию о системе
для врача-стоматолога
Cerec вы можете получить
– 1 х 5 г Monobond-S
у
SSiirroonnaa DDeennttaall SSyysstteemmss GGmmbbHH..
– 1 x 3 г Multilink A+B
– 1 набор OptraFine PromoPack
Cerec является зарегистрированным
товарным знаком Sirona Dental
– 4 x OptraGate, размеры S, R
Systems GmbH.
– 4 x OptraDam, размеры S, R
– различные принадлежности
10

ППррииннццииппыы ппррееппаарриирроовваанниияя ии ммииннииммааллььннааяя ттооллщщииннаа ссттееннккии
Успешная работа с блоками IPS Empress CAD возможна только в случае соблюдения приведенных далее
принципов препарирования и минимальной толщины слоя.
ВВккллааддккии IInnllaayyss//OOnnllaayyss
Непременно следует обращать внимание на статические и динамические контакты антагонистов. Края
препарации не должны проходить через контакт антагонистов в центральной окклюзии.
В области фиссур предусмотреть глубину препарирования минимум 1,5 мм, а ширину перешейка – 1,5 мм.
Стенки аппроксимальной полости сформировать слегка дивергентно. Между проксимальными стенками
0
полости и будущей аппроксимальной поверхностью вкладки соблюдать угол 100-120
. При выраженно
выпуклых аппроксимальных поверхностях без достаточной поддержки со стороны аппроксимального уступа
на вкладке Inlay следует избегать контактов с краевыми валиками. Внутренние края и переходы скруглить,
чтобы избежать концентрации напряжений в керамике. Аппроксимальные контакты со всех сторон
освободить. Не препарировать никаких фальцев и скосов.
В области перекрытия бугров предусмотреть свободное место не менее 2 мм. Уступ следует формировать
0
без скоса, т.е. под углом 90
к зубу. Вкладки Onlays показаны, если граница препарирования удалена
от вершины бугра менее чем на 0,5 мм или если эмаль имеет значительные поднутрения.
11
4°
>1.5
100-120°
>1.5
>2.0
4°
>1.5
>1.5
90°

ВВииннииррыы
Препарирование по возможности следует проводить только по эмали. Инцизальные границы
препарирования не должны проходить по абразивным и динамическим окклюзионным поверхностям.
С помощью нанесения ориентировочных рисок вы сможете провести контролируемое укорочение эмали.
Освобождения аппроксимальных контактов не требуется.
При
ппррееппааррииррооввааннииии ббеезз ппееррееккррыыттиияя рреежжуущщееггоо ккррааяя
(только лабиальное укорочение) глубина
препарирования в цервикальной области составляет минимум 0,6 мм, в лабиальной – минимум 0,7 мм.
При
оорроо--ииннццииззааллььнноомм ппррееппааррииррооввааннииии сс ппееррееккррыыттииеемм рреежжуущщееггоо ккррааяя
(лабиальное / инцизальное
укорочение) глубина препарирования в цервикальной области составляет минимум 0,6 мм, в лабиальной –
минимум 0,7 мм. Режущий край должен быть укорочен на 1 мм. Размер инцизального укорочения зависит
при этом от желаемой транслюцентности формируемого режущего края. Чем более транспарентным
должен казаться режущий край винира, тем сильнее следует делать укорочение. Потемневшие зубы
при необходимости следует сильнее обтачивать.
ККооррооннккии ддлляя ффррооннттааллььнныыхх ии ббооккооввыыхх ззууббоовв
Анатомическая форма зуба равномерно уменьшается, учитывая минимальную толщину реставрации.
Препарируется циркулярный уступ со сглаженным внутренним углом или закругленный уступ-скос. Ширина
кругового уступа должна составлять не менее 1 мм. Окклюзионное или инцизальное разобщение должно
составлять примерно 2 мм. Для передних коронок оральная и вестибулярная поверхности должны быть
сошлифованы примерно на 1,5 мм. Режущий край отпрепарированной культи должен составлять не менее
1 мм (геометрия вытачивающего инструмента), чтобы обеспечить оптимальное вытачивание реставрации
в области режущего края при CAD/CAM-обработке.
12
> 0.6
> 0.6
>0.7
>0.7
>0.7
>1.0
2.0 2.0
>1.0
1.5
>1.0
1.5
1.5
>1.0
>1.0
1.5
1.5
1.0
2.0

IPS
Empress CAD –
ООББЗЗООРР ППРРООЦЦЕЕССССАА ЛЛЕЕЧЧЕЕННИИЯЯ
Наряду с блоками IPS Empress CAD в вашем распоряжении находятся другие продукты Ivoclar Vivadent,
которые согласованы между собой и полностью обеспечивают лечебный процесс врача-стоматолога.
Согласованные между собой и соответствующие отдельным этапам работы продукты повышают комфорт
работы врача и качество реставрации в целом. Благодаря этому стало возможным создавать
высокоэстетичные и долговременные реставрации из блоков IPS Empress CAD максимально эффективно
и экономично.
ЛЛееччееббнныыйй ппррооццеесссс
ЭЭттааппыы ррааббооттыы
ППррооддууккттыы IIvvooccllaarr VViivvaaddeenntt
ООппррееддееллееннииее РРаассццввееттккии CChhrroommaassccoopp
ццввееттаа ззууббаа ии BBlleeaacchh BBLL
Для определения цвета
ООппррееддееллееннииее ццввееттаа
неотпрепарированного зуба
ООппррееддееллееннииее IIPPSS
®®
NNaattuurraall DDiiee MMaatteerriiaall
ццввееттаа ккууллььттии
Для определения цвета
отпрепарированного зуба
OOppttrraaGGaattee
®®
Сильно упрощает доступ к рабочему полю и расширяет
его благодаря циркулярному удерживанию губ и щек
ИИннттррааооррааллььнныыйй
OOppttrraaDDaamm
®®
ссннииммоокк
Трехмерный коффердам анатомической формы
IIPPSS
®®
ККооннттрраассттнныыйй ссппрреейй ддлляя ввррааччаа
Для получения оптимального снимка благодаря
детальному отображению краев
ББллооккии IIPPSS EEmmpprreessss
®®
CCAADD
ООббттааччииввааннииее
Блоки из лейцитной керамики для технологии
CAD/CAM
TTeettrriicc
®®
CCoolloorr
Светоотверждаемые композитные красители
для создания внутренних эффектов
IIPPSS EEmmpprreessss EEsstthheettiicc VVeenneeeerr
ООккрраашшииввааннииее
Опалесцентные керамические массы для индиви-
ии ооббллииццооввккаа
дуальных эстетических доработок реставрации
IIPPSS EEmmpprreessss UUnniivveerrssaall SShhaaddee // SSttaaiinnss
Пастообразные красители для индивидуального
окрашивания поверхности реставрации
IIPPSS
®®
OObbjjeecctt FFiixx
Вспомогательная паста для удерживания
цельнокерамических реставраций при обжиге
ООббжжиигг ккееррааммииккии
PPrrooggrraammaatt
®®
PP330000
Керамическая печь для достижения оптимальных
результатов обжига.
IIPPSS
®®
CCeerraammiicc AAeettzzggeell ППррооттррааввллииввааюющщиийй ггеелльь
Для создания ретенционной поверхности
ППррооттррааввккаа//
цельнокерамических реставраций
ссииллааннииззииррооввааннииее
MMoonnoobboonndd--SS
®®
Силанизирует соединяемые протравленные
поверхности цельнокерамических реставраций
OOppttrraaDDaamm
®®
Трехмерный коффердам анатомической формы
VVaarriioolliinnkk
®®
IIII,, VVaarriioolliinnkk VVeenneeeerr,, MMuullttiilliinnkk
®®
AAuuttoommiixx
ФФииккссаацциияя
Зарекомендовавшие себя системы для адгезивной
фиксации
OOppttrraaFFiinnee
ППооллииррооввккаа
Эффективная алмазная система полировки
керамических материалов для врачей-стоматологов
13

ООппррееддееллееннииее ццввееттаа
Верно выбранный цвет – основа реставрации, которая имеет живой внешний вид. Определение цвета зуба
проводится после его очистки и до начала препарирования его и соседних зубов. При определении цвета зуба
следует учитывать индивидуальные особенности. Например, если запланировано препарирование коронки,
необходимо также определить цвет в пришеечной области. Для того чтобы достичь результата, максимально
приближенного к действительности, определение цвета должно происходить при дневном свете. При этом
на пациенте не должно быть одежды интенсивных цветов, а также губной помады. Принципиально следует
помнить, что окончательный цвет реставрации складывается из следующих составляющих:
– цвет культи;
– цвет керамического блока;
– цвет облицовочной керамики;
– цвет фиксирующего материала.
IIPPSS NNaattuurraall DDiiee MMaatteerriiaall ККууллььттееввоойй ммааттееррииаалл
Для того чтобы легко и точно воспроизвести цвет,
существует цветовая шкала IPS Natural Die Material,
с помощью которой определяется цвет культи после
препарирования. Она облегчает изготовление
цельнокерамических реставраций, и с ее помощью
могут учитываться индивидуальные характеристики
культи. Благодаря изготовлению рабочего штампика
из материала IPS Natural Die Material, соответствующего
цвету культи зуба, можно постоянно контролировать
цвет реставрации из блоков IPS Empress CAD
на каждом этапе ее изготовления.
14

ИИннттррааооррааллььнныыйй ссннииммоокк
При подготовке к снятию оптического снимка следует
использовать
OOppttrraaGGaattee
для облегчения доступа к рабочему
полю. OptraGate – это клиническое вспомогательное
средство, которое удерживает губы и щеки в течение
лечения. Оно улучшает обзор, расширяет доступ и облегчает
контроль влажности в полости рта пациента.
Контрастный спрей
IIPPSS CCoonnttrraasstt SSpprraayy
используется
для получения оптимального снимка
при изготовлении реставраций технологией
CAD/CAM. С помощью контрастного спрея
выравниваются различные оптические особенности
живого зуба (дентина и эмали), после чего может
быть выполнен оптимальный снимок с помощью камеры.
С помощью короткого нажатия
на небольшой рассеивающий носик,
вы получаете оптимальный слой,
покрывающий зуб, при этом детально
передающий особенности краев. Для спрея также существуют изогнутые
рассеивающие головки. Соблюдайте инструкцию по использованию.
ВВыыттааччииввааннииее
Выбор блока IPS Empress CAD для вытачивания реставрации происходит
в соответствии с клинической ситуацией. Клиническая ситуация
определяет не только цвет и транслюцентность блока, но и его размер.
После того, как блок выбран, он монтируется в установку САМ,
и реставрация вытачивается.
Существуют разные варианты последующей обработки реставрации.
Подробное описание отдельных этапов работы при окончательной
обработке реставрации вы найдете в главе «Практическая работа –
изготовление реставраций IPS Empress CAD».
15

ООккрраашшииввааннииее ии ооббллииццооввккаа
Для окрашивания, индивидуализации и облицовки реставраций IPS Empress
CAD предлагаются на выбор три различные техники.
11.. ВВннууттрреенннняяяя ииннддииввииддууааллииззаацциияя
TTeettrriicc CCoolloorr
®®
– это светоотверждаемые композитные красители для создания
индивидуальных цветовых эффектов. Помимо всего прочего они также
подходят для внутренней характеризации реставраций IPS Empress CAD
в момент фиксации (например, виниров). После протравливания (в течение
60 секунд протравливающим гелем IPS Ceramic Aetzgel) и силанизирования
(Monobond-S) производится нанесение красителя. После этого происходит
световое отверждение прибором для полимеризации серии bluphase.
После «внутренней индивидуализации» с помощью Tetric Color больше
нельзя проводить никаких обжигов керамики.
22.. ННаарруужжннааяя ииннддииввииддууааллииззаацциияя**
IIPPSS EEmmpprreessss UUnniivveerrssaall SShhaaddeess//SSttaaiinnss
– это керамические красители для
индивидуального окрашивания реставрации. Помимо всего прочего они
оптимально подходят для наружного окрашивания и индивидуализации
реставраций IPS Empress CAD.
Красители для дентина выпускается в 9 цветах A–D и в 15 цветах
Chromascop. Для индивидуализации существуют также
14 интенсивных красителей. Для имитации режущего края
имеется 2 красителя Incisal Shade, которые придают инцизальной трети
оптическую транслюцентность и глубину цвета. Для окончательного
глазуровочного обжига реставрации IPS Empress в вашем распоряжении
имеется тонкозернистая глазуровочная паста нежной консистенции.
33.. ТТееххннииккаа ррееддууцциирроовваанниияя CCuutt--BBaacckk**
ККееррааммииччеессккииее ммаассссыы IIPPSS EEmmpprreessss EEsstthheettiicc VVeenneeeerr
– это лейцитные
керамические массы для наслоения при работе техникой редуцирования
«Cut-Back». При работе этой техникой полные анатомические реставрации
из IPS Empress CAD (виниры и коронки фронтальных зубов) укорачиваются
в инцизальной трети до дентино-мамелоновой структуры, а затем
достраиваются пастообразными и порошковыми материалами, благодаря
чему достигается превосходный эстетический эффект в инцизальной трети.
Набор IPS Empress Veneer Kit объединяет в себе наиболее ходовые пасты
Wash и массы для наслоения, которые необходимы для выполнения
реставраций из IPS Empress (Esthetic и CAD) техникой Cut-Back. С помощью
паст Wash достигается великолепный гомогенный переход к укороченной
реставрации. Массы для наслоения имеют флюоресцентность
и естественную опалесцентность, аналогично свойствам живой эмали.
Дополнительно – как Refill – в наборе имеется расцветка, где наглядно
представлены пасты Wash и массы для наслоения.
* Имеющиеся цвета и материалы вы найдете в таблице комбинирования масс.
16

ООббжжиигг ккееррааммииккии
Обычно реставрации из IPS Empress CAD обжигают на трегере с сотовой
структурой. При этом реставрации помещаются либо на вату для обжига,
либо на металлические штифты. В качестве альтернативы
для лучшей фиксации реставрации на металлическом
штифте используется вспомогательная паста
IIPPSS OObbjjeecctt FFiixx..
Обжиг керамики производится в керамической печи Programat P300.
Эта печь вдохновляет своей экономичностью и простой концепцией
обслуживания. Прибор поставляется с уже запрограммированными
на заводе программами для IPS Empress и IPS e.max.
ППррооттррааввккаа ии ссииллааннииззииррооввааннииее
Подготовка керамической поверхности перед адгезивной фиксацией
является решающим этапом в процессе соединения фиксирующего
материала и цельнокерамической реставрации.
Стеклокерамические массы протравливаются гелем
IIPPSS CCeerraammiicc AAeettzzggeell..
В результате протравливания
поверхность становится ретенционной, что ведет
к повышению прочности связи между фиксирующим
композитом и цельнокерамической реставрацией.
IPS Ceramic Aetzgel предназначен только для экстраорального применения
и не может быть использован в полости рта пациента.
Следующее за протравливанием силанизирование соединяемой
поверхности средством
MMoonnoobboonndd--SS
образует внутреннюю связь между
протравленным керамическим материалом и фиксирующим
композитом. Таким образом, силан является важным составным
элементом связи между реставрацией IPS Empress CAD и тканями зуба.
17

ФФииккссаацциияя
При подготовке к адгезивной фиксации следует обеспечить сухость
операционного поля – предпочтительно с помощью коффердама.
OOppttrraaDDaamm
®®
– это удобный трехразмерный коффердам, который благодаря
своей анатомической форме и встроенной рамке надевается
очень просто и быстро. Из-за высокой эластичности OptraDam
комфортен для пациента даже во время длительного лечения.
Благодаря удобному удерживанию губ и щек пациента доступ
к рабочему полю существенно облегчается, а само поле
значительно расширяется, одновременно с этим
обеспечивается его полная сухость.
TToottaall EEttcchh ГГеелльь ддлляя ппррооттррааввллиивваанниияя
Для подготовки препарации к адгезивной фиксации цементом
Variolink используется Total Etch. Это гель для протравливания
эмали и подготовки дентина в рамках адгезивной фиксации
цельнокерамической реставрации.
Для адгезивной фиксации реставраций IPS Empress CAD вы можете выбрать
один из фиксирующих композитов фирмы Ivoclar Vivadent. Благодаря
адгезивной фиксации создается очень хорошая связь между реставрацией
и тканями зуба.
VVaarriioolliinnkk
®®
MMuullttiilliinnkk
®®
(Variolink II, Variolink Veneer)
(Multilink, Multilink Automix)
ВВииннииррыы
x
––––
ВВккллааддккии IInnllaayyss
x
x
ВВккллааддккии OOnnllaayyss
x
x
ЧЧаассттииччнныыее ккооррооннккии
x
x
ККооррооннккии ддлляя ффррооннттааллььнныыхх
x
x
ии ббооккооввыыхх ззууббоовв
x
показано
––––
противопоказано
VVaarriioolliinnkk
®®
IIII
Фиксирующий композит двойного отверждения Variolink II вот уже
более десяти лет является ведущим высокоэстетичным материалом,
это подтверждают более чем 20 миллионов использований за все
прошедшее время.
Многочисленные отзывы о нем как о лучшем продукте в категории
адгезивных фиксирующих композитов и очень хорошие результаты
долгосрочных клинических исследований свидетельствуют
об успешности этого материала.
18

VVaarriioolliinnkk
®®
VVeenneeeerr
Фиксирующий композит только светового отверждения, который
выпускается в 7 цветах, используется для фиксации транслюцентных
цельнокерамических реставраций с толщиной слоя менее 2 мм (виниры,
вкладки Inlays/Onlays).
MMuullttiilliinnkk
®®
AAuuttoommiixx
Универсальный самоотверждаемый (с опциональной возможностью
светового отверждения) фиксирующий композит Multilink имеет широкую
область показаний к применению и создает прочное соединение
с поверхностью всех материалов. Вместе с самопротравливающим
праймером, который предварительно просто наносится на эмаль и дентин,
Multilink является быстрым в использовании и эффективным материалом.
Для полимеризации светоотверждаемых адгезивных композитов
и композитов двойного отверждения используются светодиодные лампы
серии
bblluueepphhaassee..
Высокая интенсивность света, которая достигается лампами bluephase,
позволяет проводить полимеризацию сравнительно быстро при одновременно
большой глубине полимеризации. Именно в случаях адгезивной фиксации
цельнокерамических реставраций, когда особенно важно полное глубокое
отверждение, находит свое применение лампа
bblluueepphhaassee 1166ii
. В этом случае
в полной мере используется вся мощь высокоэффективного светодиода.
Благодаря этой лампе фиксация цельнокерамических реставраций происходит
так быстро, как только возможно.
ППооллииррооввккаа
OOppttrraaFFiinnee
– это специально разработанная алмазная система полировки
керамических материалов для врачей-стоматологов, соединяющая в себе
высокую эффективность с превосходными результатами
полирования. OptraFine соответствует всем ожиданиям –
будь то гладкость поверхности или превосходный эстетический
блеск реставрации. В противоположность другим
керамическим полирам OptraFine можно
автоклавировать, а затем снова использовать.
OptraFine выпускается в формах «пламя»,
«обратный конус» и «диск».
Полировка проводится в три этапа:
– финирование/сглаживание поверхности полиром Finisher F
– полировка полиром Polisher P
– окончательная полировка щеточкой для финишной полировки
и алмазной пастой НР
19

Изготовление реставраций IPS Empress CAD
IIPPSS EEmmpprreessss CCAADD –– ввккллааддккии IInnllaayyss//OOnnllaayyss –– ооттппооллиирроовваанннныыее
Реставрации IPS Empress CAD идеально подходят для восстановления небольших дефектов
цельнокерамическими конструкциями, а также для замены неэстетичных пломб, выполненных ранее.
Благодаря естественному эффекту хамелеона реставрации IPS Empress CAD идеально сочетаются
с соседними зубами. При этой технике обработки реставрация сразу после вытачивания в системе CAD/САМ
полируется и фиксируется. Блеск поверхности достигается ручной полировкой реставрации. В результате
такой способ работы является очень эффективным и позволяет достичь просто и быстро хороших
эстетических результатов.
ППррееппааррииррооввааннииее
После определения цвета зуба проводится препарирование в соответствии с рекомендациями,
приведенными ранее. При подготовке к интраоральному снимку на очищенный и высушенный
препарированный зуб коротким нажатием наносится контрастный спрей IPS Contrast Spray Chаirside.
Исходная ситуация: пломба из амальгамы
После препарирования
на 47 зубе должна быть заменена
Нанесение на препарированный зуб контрастного спрея
Препарированный зуб готов
IPS Contrast Spray Chаirside
к интраоральному снимку
ИИннффооррммааццииюю оо ппррооццеессссее ооббррааббооттккии ссииссттееммыы CCAADD//CCAAMM ввыы ннааййддееттее вв ссооооттввееттссттввууюющщеейй ииннссттррууккццииии..
ННееппррееммеенннноо ссллееддууеетт ссооббллююддааттьь ввссее ррееккооммееннддааццииии ппррооииззввооддииттеелляя..
20

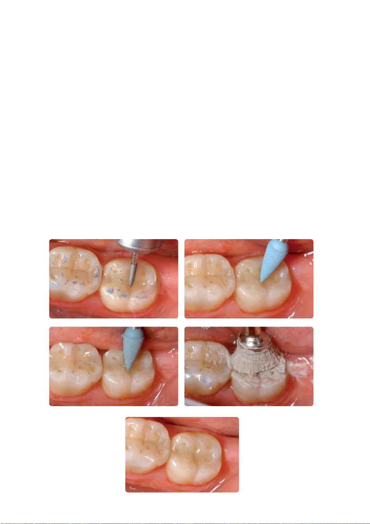
ООббррааббооттккаа
При обработке стеклокерамических объектов неизбежно встает вопрос хорошего шлифовального
инструмента. Если использовать несоответствующий шлифовальный инструмент, то, помимо всего прочего,
это может привести к сколам по краям реставрации и локальному перегреву.
Рекомендуется следующий образ действий при обработке реставраций IPS Empress CAD:
– Обработку проводить только соответствующим тонкозернистым (зернистость менее 60 мкм)
керамическим полиром или алмазом, при скорости оборотов не более 20 000 об/мин, оказывая
незначительное давление на реставрацию.
– Избегать перегрева стеклокерамики.
– Сошлифовать держатель блока, обращать внимание на аппроксимальные контакты.
– При необходимости, провести индивидуальную корректировку формы.
– Провести примерку и при необходимости отрегулировать окклюзию/артикуляцию.
– Перед фиксацией отполировать вне полости рта пациента аппроксимальные и другие большие
поверхности реставрации.
Сошлифовать держатель блока, обращая внимание Отполировать вне полости рта пациента аппроксимальные
на аппроксимальные контакты и другие большие поверхности
ААддггееззииввннааяя ффииккссаацциияя
ППооддггооттооввккаа рреессттааввррааццииии IIPPSS EEmmpprreessss CCAADD
В процессе подготовки реставрации IPS Empress CAD к фиксации ее следует протравить гелем IPS Ceramic
Aetzgel в течение 60 секунд, а затем промыть под проточной водой. Далее силанизировать средством
Monobond-S. Соблюдать требования техники безопасности.
Протравливание реставрации IPS Empress CAD Силанизация реставрации IPS Empress CAD
гелем IPS Ceramic Aetzgel средством Monobond-S
21

ППооддггооттооввккаа кк ппррееппааррииррооввааннииюю
Для адгезивной фиксации реставраций IPS Empress CAD вы можете выбрать один из фиксирующих
композитов фирмы Ivoclar Vivadent. В задокументированном случае использовались Variolink II / Syntac.
– Для подготовки препарации к адгезивной фиксации цементом Variolink II / Variolink Veneer используется
Total Etch. Total Etch – это гель для протравливания эмали (в течение 30 секунд) и подготовки дентина
(протравливание в течение 10-15 секунд).
– Для подготовки препарации к адгезивной фиксации цементом Multilink Automix используется Multilink
праймер А/В.
Установить реставрацию, излишки удалить Для полимеризации края реставрации закрыть глицериновым гелем,
реставрацию полимеризовать со всех сторон
22

ППооллииррооввккаа
После адгезивной фиксации окклюзия/артикуляция реставрации выверяется с помощью алмазного
инструмента. Затем производится ручная полировка реставрации в три простых этапа. Для достижения
естественного блеска поверхности реставрации придерживайтесь следующих рекомендаций:
– Для проведения полировки рекомендуется эффективная алмазная полировочная система для врача-
стоматолога OptraFine.
– В течение всего процесса полировки всегда следить за контактными пунктами и краями.
– Полировать при соответствующем количестве оборотов и незначительном давлении, чтобы избежать
нежелательного нагрева реставрации.
– Перед фиксацией аппроксимальные и другие большие поверхности реставрации отполировать
вне полости рта пациента.
ППееррввыыйй шшаагг
Произвести финирование/сглаживание поверхности (например, с аппроксимальной стороны) полиром
Finisher F (максимальное количество оборотов 15 000 об/мин, использовать водяное охлаждение).
С помощью этого полира сглаживаются бороздки, образующиеся в результате вытачивания реставрации
в установке CAD/CAM, алмазом 60 мкм.
ВВттоорроойй шшаагг
Произвести полировку полиром Polisher P (максимальное количество оборотов 15 000 об/мин,
использовать водяное охлаждение).
ТТррееттиийй шшаагг
Произвести окончательную полировку щеточкой для финишной полировки и алмазной пастой НР
(максимальное количество оборотов 15 000 об/мин).(speed: max. 15,000 rpm).
Выверка окклюзии/артикуляции тонким алмазом Финирование/сглаживание поверхности финиром Finisher F (светло-синим)
Полировка полиром Polisher P (темно-синим)
Окончательная полировка щеточкой для финишной полировки
и алмазной пастой НР
Готовая отполированная реставрация IPS Empress CAD
23

IIPPSS EEmmpprreessss CCAADD –– ввккллааддккии IInnllaayyss//OOnnllaayyss –– ооккрраашшеенннныыее,,
ггллааззуурроовваанннныыее
Для эффективного глазурования и окрашивания вкладок Inlays/Onlays и частичных коронок подходит
техника 2-в-1. При работе этой техникой обжиг красителей и глазури происходит одновременно.
При этом можно проводить не так много корректировок цвета, как при отдельном обжиге красителей.
Если требуются значительные корректировки цвета, мы рекомендуем проводить отдельный обжиг
красителей (как описано в следующей главе).
ИИннффооррммааццииюю оо ппррооццеессссее ооббррааббооттккии вв ссииссттееммее CCAADD//CCAAMM ввыы ннааййддееттее вв ссооооттввееттссттввууюющщеейй ииннссттррууккццииии..
ННееппррееммеенннноо ссллееддууеетт ссооббллююддааттьь ввссее ррееккооммееннддааццииии ппррооииззввооддииттеелляя..
ООббррааббооттккаа ии ппооддггооттооввккаа кк ооббжжииггуу ккрраассииттееллеейй ии ггллааззууррии
При обработке стеклокерамических объектов неизбежно встает вопрос хорошего
шлифовального инструмента. Если использовать несоответствующий шлифовальный
инструмент, то, помимо всего прочего, это может привести к сколам по краям
реставрации и локальному перегреву.
Рекомендуется следующий образ действий при обработке реставраций IPS Empress CAD:
– Обработку проводить только соответствующим тонкозернистым (зернистость
менее 60 мкм) керамическим полиром или алмазом, при скорости оборотов
не более 20 000 об./мин., оказывая незначительное давление на реставрацию.
– Избегать перегрева стеклокерамики.
Сошлифовать держатель блока, обращать
– Сошлифовать держатель блока, обращать внимание на аппроксимальные контакты.
внимание на аппроксимальные контакты
– При необходимости провести индивидуальную корректировку формы
Перед обжигом красителей и глазури реставрацию следует очистить от грязи и жира.
После очистки избегать любого загрязнения реставрации. Соблюдать следующую
последовательность действий:
– Перед нанесением красителей реставрацию почистить в ультразвуковой ванне
или в пескоструйном аппарате, используя оксид алюминия Al
2
O
3
при максимальном
давлении 0,5 бар (осторожно: абразивность), а затем промыть под проточной
водой или почистить пароструем.
– Некоторые пескоструйные аппараты требуют дополнительной настройки,
Перед окрашиванием реставрацию почистить
чтобы обеспечить необходимый процесс пескоструйной обработки.
ТТееххннииккаа 22--вв--11 ии ооббжжиигг ккрраассииттееллеейй ии ггллааззууррии сс ииссппооллььззооввааннииеемм IIPPSS EEmmpprreessss UUnniivveerrssaall
После того, как реставрация была очищена, производится нанесение красителей и глазури в два этапа.
Сначала наносится глазуровочная паста, а затем красители – на слой не обожженной глазури. При этом
соблюдайте следующую последовательность:
ППееррввыыйй шшаагг –– ннааннеессееннииее ггллааззууррии
– Извлечь из шприца глазуровочную пасту IPS Empress Universal Glasurpaste и замешать.
– Разбавить ее до желаемой консистенции универсальной жидкостью для глазури и красителей IPS Empress
Universal Glasur- und Malfarbenfluid. Разбавлять не слишком сильно, поскольку в противном случае глазурь
будет бесконтрольно стекать.
– Равномерно нанести глазурь на всю внешнюю поверхность реставрации.
– Глазурь не должна попадать на внутреннюю поверхность реставрации.
– Избегать нанесения глазури слишком толстым слоем и образования капель на поверхности.
– Слишком тонкий слой глазури ведет к недостаточному блеску реставрации.
24

Равномерно нанести глазурь на всю внешнюю поверхность реставрации
ВВттоорроойй шшаагг –– ннааннеессееннииее ккрраассииттееллеейй SShhaaddee//SSttaaiinnss
– Извлечь из шприца краситель IPS Empress Universal Shade или Stains и замешать.
– Разбавить его до желаемой консистенции универсальной жидкостью для глазури и красителей
IPS Empress Universal Glasur- und Malfarbenfluid.
– Замешанные красители Shade нанести прямо на необожженный слой глазури.
– На пришеечной и окклюзионной поверхностях соответствующий цвет дентина сделать более
интенсивным с помощью красителя IPS Empress Universal Shade.
– Для имитации режущего края и транслюцентности в инцизальной трети использовать IPS Empress
Universal Shade Incisal.
– Создать индивидуальные эффекты на буграх и в фиссурах с помощью красителей Stains. Их следует
наносить только после того, как окончено нанесение красителей Shade.
– Красители Stains наносить кисточкой по возможности локально, тонкими мазками на необожженный
слой глазури.
Замешанные красители Shade нанести прямо на необожженный слой
Создать индивидуальные эффекты на буграх и в фиссурах с помощью
глазури. На пришеечной и окклюзионной поверхностях цвет дентина
красителей Stains
сделать более интенсивным, для имитации режущего края
использовать Shade Incisal.
После глазурования и окрашивания производится обжиг красителей и глазури в соответствующей
керамической печи (например, Programat P300). При помещении объектов обжига в печь и самом процессе
обжига обращайте внимание на следующие моменты:
– Для вкладок Inlays/Onlays и частичных коронок создать поддержку из ваты для обжига и поместить
на трегер с сотовой структурой.
– Виниры, а также коронки для фронтальных и боковых зубов поместить на металлический штифт, а штифт
расположить на трегере с сотовой структурой.
– В качестве альтернативы вате для обжига и для лучшего
закрепления реставрации на металлическом штифте может быть
использовано небольшое количество пасты IPS Object Fix.
– Реставрации, лежащие на трегере и поддержанные ватой
для обжига, из-за низкого положения в печи получают меньше
тепла. Для того, чтобы тем не менее добиться естественного
блеска реставрации, рекомендуется продлить время выдержки
с 1 до 2 минут.
– Необходимо следить за тем, чтобы вата для обжига регулярно
Поместить на трегер с сотовой структурой
объекты и запустить программу обжига
заменялась. Тем самым вы избегаете загрязнения реставрации.
25

ППааррааммееттррыы ооббжжииггаа ккрраассииттееллеейй ии ггллааззууррии
IIPPSS EEmmpprreessss CCAADD сс IIPPSS EEmmpprreessss UUnniivveerrssaall BB SS tt
TT HH VV
11
VV
22
Обжиг красителей и глазури 403°C 6' 100°C 790°C 1–2' – –
757°F 6' 180°F 1454°F 1–2' – –
B – температура готовности
0
С/
0
F
T – температура обжига
0
С/
0
F
V
1
– включение вакуума, начиная
S – время закрытия, мин
H – время выдержки, мин
с определенной температуры,
0
С/
0
F
t
– скорость нагрева
0
С/мин. /
0
F/мин.
V
2
– выключение вакуума, по достижении
определенной температуры,
0
С/
0
F
Готовая реставрация IPS Empress CAD, окрашенная и глазурованная за один этап.
ООппццииооннааллььнноо
ДДооппооллннииттееллььнныыее ккооррррееккттииррооввккии
Иногда после того как реставрация полностью изготовлена, необходимо произвести ее
дополнительные корректировки (например, контактных пунктов). Для этого в вашем
0
0
распоряжении имеется корректировочная масса IPS Empress Add-On 770
C/1418
F.
Последовательность действий:
– Перед корректировкой реставрацию следует очистить от грязи и жира. Для этого тщательно почистить ее
пароструем.
0
0
– Корректировочную массу IPS Empress Add-On 770
C/1418
F разбавить жидкостью для моделирования
IPS Empress Esthetic Veneer Modellierliquid до консистенции, необходимой для моделирования. Следить
за тем, чтобы корректировочная масса была равномерно замешана, что позволяет достичь оптимальных
результатов обжига.
– Замешанную корректировочную массу нанести кисточкой на очищенную поверхность и слегка
промокнуть салфеткой.
– Готовую откорректированную реставрацию на трегере поместить в керамическую печь и обжечь.
– После обжига откорректированные поверхности полировать до блеска вручную.
ППааррааммееттррыы ккооррррееккттииррооввооччннооггоо ооббжжииггаа
IIPPSS EEmmpprreessss CCAADD BB SS tt
TT HH VV
11
VV
22
сс IIPPSS EEmmpprreessss AAdddd--OOnn 777700°°CC//11441188°°FF
Корректировочный обжиг 403°C 4' 60°C 770°C 2' 450°C 769°C
757°F 4' 108°F 1418°F 2' 842°F 1417°F
B – температура готовности
0
С/
0
F
T – температура обжига
0
С/
0
F
V
1
– включение вакуума, начиная
S – время закрытия, мин
H – время выдержки, мин.
с определенной температуры,
0
С/
0
F
t
– скорость нагрева
0
С/мин /
0
F/мин
V
2
– выключение вакуума, по достижении
определенной температуры,
0
С/
0
F
26

IIPPSS EEmmpprreessss CCAADD –– ввииннииррыы//ккооррооннккии –– ооккрраашшеенннныыее,, ггллааззуурроовваанннныыее
Когда требуются значительные корректировки цвета (по интенсивности и размеру), рекомендуется проводить их
в несколько этапов. Для того чтобы воспроизводить цвет зуба еще быстрее и точнее, существует возможность
изготовить индивидуальную цветовую культю из культевого материала IPS Natural Die Material. Сначала наносятся
красители IPS Empress Universal Shade и Stains и отдельно обжигаются. Цвет, который получается после обжига,
можно проконтролировать и при необходимости сделать его еще более интенсивным дополнительным
нанесением красителей, чтобы учесть индивидуальную ситуацию в полости рта пациента. Когда достигнут
необходимый цвет реставрации и созданы эффекты, выполняется окончательный глазуровочный обжиг.
ИИннффооррммааццииюю оо ппррооццеессссее ооббррааббооттккии вв ссииссттееммее CCAADD//CCAAMM ввыы ннааййддееттее вв ссооооттввееттссттввууюющщеейй ииннссттррууккццииии..
ННееппррееммеенннноо ссллееддууеетт ссооббллююддааттьь ввссее ррееккооммееннддааццииии ппррооииззввооддииттеелляя..
ООббррааббооттккаа
При обработке стеклокерамических объектов неизбежно встает вопрос хорошего шлифовального
инструмента. Если использовать несоответствующий шлифовальный инструмент, то, помимо всего прочего,
это может привести к сколам по краям реставрации и локальному перегреву.
Рекомендуется следующий образ действий при обработке реставраций IPS Empress CAD:
– Обработку проводить только соответствующим тонкозернистым (зернистость менее 60 мкм)
керамическим полиром или алмазом, при скорости оборотов не более 20 000 об/мин, оказывая
незначительное давление на реставрацию.
– Края реставрации осторожно обрабатывать резиновыми
и силиконовыми полирами (количество оборотов не более
10 000 об/мин).
– Избегать перегрева стеклокерамики.
– Сошлифовать держатель блока и обращать внимание
на аппроксимальные контакты.
– При необходимости провести индивидуальную корректировку
формы.
– Структуры на поверхности при необходимости выполнять сильнее,
Провести индивидуальную адаптацию формы
и создать живые структуры на поверхности
поскольку слой глазури сверху будет ослаблять их выраженность.
ООппццииооннааллььнноо
ИИззггооттооввллееннииее ккууллььттии иизз ккууллььттееввооггоо ммааттееррииааллаа IIPPSS NNaattuurraall DDiiee MMaatteerriiaall
Светоотверждаемый культевой материал IPS Natural Die Material воспроизводит цвет отпрепарированного
зуба. Из него изготавливается контрольная культя, которая создает оптимальную основу для надежной
цветопередачи существующей ситуации в полости рта пациента.
– Внутреннюю поверхность керамической реставрации покрыть сепаратором IPS Natural Die Material
Separator и оставить на короткое время действовать.
– С помощью штопфера IPS нанести соответствующий по цвету культевой материал IPS Natural Die Material
на внутреннюю поверхность реставрации и хорошо адаптировать
таким образом, чтобы вся внутренняя поверхность была закрыта.
– Вдавить культевой штифт в Die Material, а излишки адаптировать
к штифту. Следить за тем, чтобы культевой материал был хорошо
адаптирован к краям реставрации и чтобы не было никаких
краевых щелей.
– Культю из культевого материала IPS Natural Die Material
полимеризовать прибором для световой полимеризации
в течение 60 секунд.
– После полимеризации при необходимости культю можно
Штампик из культевого материала IPS Natural
Die Material создает оптимальную цветовую основу
обработать и отшлифовать.
для живой цельнокерамической реставрации
27

ППооддггооттооввккаа кк ооккрраашшииввааннииюю
Перед обжигом красителей реставрацию следует очистить от грязи
и жира. После очистки избегать любого загрязнения реставрации.
Соблюдать следующую последовательность действий:
– перед нанесением красителей реставрацию почистить
в ультразвуковой ванне или в пескоструйном аппарате,
используя оксид алюминия Al
2
O
3
, при максимальном давлении
0,5 бар (осторожно: абразивность), а затем промыть
под проточной водой или почистить пароструем.
Перед нанесением красителей
– некоторые пескоструйные аппараты требуют дополнительной
реставрацию почистить пароструем
настройки, чтобы обеспечить необходимый процесс пескоструйной
обработки.
ООббжжиигг ккрраассииттееллеейй IIPPSS EEmmpprreessss UUnniivveerrssaall SShhaaddee ии SSttaaiinnss
После того как реставрация была очищена, проводится обжиг красителей. При этом придерживайтесь
следующего порядка действий:
– Извлечь из шприца краситель IPS Empress Universal Shade или Stains и замешать.
– Разбавить его до желаемой консистенции универсальной жидкостью для глазури и красителей
IPS Empress Universal Glasur- und Malfarbenfluid.
– Для лучшего увлажнения красителей в поверхность реставрации можно слегка втереть универсальную
жидкость для глазури и красителей IPS Empress Universal Glasur- und Malfarbenfluid.
– Замешанные красители Shade нанести прямо на поверхность.
– На пришеечной области и в средней трети коронки цвет дентина можно сделать более интенсивным
с помощью красителя IPS Empress Universal Shade.
– Избегать нанесения красителей слишком толстым слоем.
– Если требуются более интенсивные цвета, этого можно достичь повторным окрашиванием и обжигом,
а не нанесением слишком толстого слоя красителя.
– Для имитации режущего края и транслюцентности в инцизальной трети использовать IPS Empress
Universal Shade Incisal.
– Создать индивидуальные эффекты с помощью красителей Stains.
– Красители Stains наносить кисточкой по возможности локально, тонкими мазками.
Ядро из дентина окрашивается более интенсивно с помощью
Режущий край имитируется с помощью
красителей IPS Empress Universal Shade
IPS Empress Universal Shade Incisal
Индивидуальные эффекты создаются с помощью красителей
IPS Empress Universal Stains
28

